SCFD1 antibody [N2C1], Internal

Cat. No. GTX120605
Cat. No.  GTX120605
Anti-SCFD1 antibody [N2C1], Internal used in Western Blot (WB). GTX120605
GTX120605 WB Image

Sample (30 ug of whole cell lysate)
A: U87-MG
7.5% SDS PAGE
GTX120605 diluted at 1:5000

1 / 2
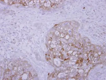
Anti-SCFD1 antibody [N2C1], Internal used in IHC (Paraffin sections) (IHC-P). GTX120605
GTX120605 IHC-P Image

SCFD1 antibody [N2C1], Internal detects SCFD1 protein at cytosol on human colon carcinoma by immunohistochemical analysis.
Sample: Paraffin-embedded colon carcinoma.
SCFD1 antibody [N2C1], Internal (GTX120605) dilution: 1:500.

Antigen Retrieval: Trilogy™ (EDTA based, pH 8.0) buffer, 15min

2 / 2
Anti-SCFD1 antibody [N2C1], Internal used in Western Blot (WB). GTX120605
Anti-SCFD1 antibody [N2C1], Internal used in IHC (Paraffin sections) (IHC-P). GTX120605
  • Host
    Rabbit
  • Clonality
    Polyclonal
  • Isotype
    IgG
  • Applications
    WB IHC-P
  • Reactivity
    Human
See all SCFD1 products