SDHB antibody [HL2251]

Cat. No. GTX638300
Cat. No.  GTX638300
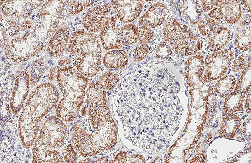
Anti-SDHB antibody [HL2251] used in IHC (Paraffin sections) (IHC-P). GTX638300
GTX638300 IHC-P Image

SDHB antibody [HL2251] detects SDHB protein by immunohistochemical analysis.
Sample: Paraffin-embedded human kidney.
SDHB stained by SDHB antibody [HL2251] (GTX638300) diluted at 1:200.
Antigen Retrieval: Citrate buffer, pH 6.0, 15 min

1 / 4
Anti-SDHB antibody [HL2251] used in IHC (Paraffin sections) (IHC-P). GTX638300
GTX638300 IHC-P Image

SDHB antibody [HL2251] detects SDHB protein by immunohistochemical analysis.
Sample: Paraffin-embedded human tissues.
SDHB stained by SDHB antibody [HL2251] (GTX638300) diluted at 1:200.
Antigen Retrieval: Citrate buffer, pH 6.0, 15 min

2 / 4
Anti-SDHB antibody [HL2251] used in IHC (Paraffin sections) (IHC-P). GTX638300
GTX638300 IHC-P Image

SDHB antibody [HL2251] detects SDHB protein at mitochondria by immunohistochemical analysis.
Sample: Paraffin-embedded dog brain.
SDHB stained by SDHB antibody [HL2251] (GTX638300) diluted at 1:100.
Antigen Retrieval: Citrate buffer, pH 6.0, 15 min

3 / 4
Anti-SDHB antibody [HL2251] used in Western Blot (WB). GTX638300
GTX638300 WB Image

Various whole cell extracts (30 μg) were separated by 12% SDS-PAGE, and the membrane was blotted with SDHB antibody [HL2251] (GTX638300) diluted at 1:1000. The HRP-conjugated anti-rabbit IgG antibody (GTX213110-01) was used to detect the primary antibody.

4 / 4
Anti-SDHB antibody [HL2251] used in IHC (Paraffin sections) (IHC-P). GTX638300
Anti-SDHB antibody [HL2251] used in IHC (Paraffin sections) (IHC-P). GTX638300
Anti-SDHB antibody [HL2251] used in IHC (Paraffin sections) (IHC-P). GTX638300
Anti-SDHB antibody [HL2251] used in Western Blot (WB). GTX638300
  • Host
    Rabbit
  • Clonality
    Monoclonal
  • Clone Name
    HL2251
  • Isotype
    IgG
  • Applications
    WB IHC-P
  • Reactivity
    Human, Dog
See all SDHB products