SDR9C7 antibody [4B5]

Cat. No. GTX83671
Cat. No.  GTX83671
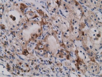
Anti-SDR9C7 antibody [4B5] used in IHC (Paraffin sections) (IHC-P). GTX83671
GTX83671 IHC-P Image

IHC-P analysis of human kidney carcinoma tissue using GTX83671 SDR9C7 antibody [4B5].
Antigen retrieval : Heat-induced epitope retrieval by 10mM citrate buffer, pH6.0, 100ºC for 10min.

1 / 6
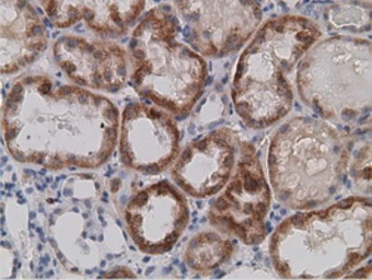
Anti-SDR9C7 antibody [4B5] used in IHC (Paraffin sections) (IHC-P). GTX83671
GTX83671 IHC-P Image

IHC-P analysis of human kidney tissue using GTX83671 SDR9C7 antibody [4B5].
Antigen retrieval : Heat-induced epitope retrieval by 10mM citrate buffer, pH6.0, 100ºC for 10min.

2 / 6
Anti-SDR9C7 antibody [4B5] used in Western Blot (WB). GTX83671
GTX83671 WB Image

WB analysis of HEK293T cells transfected with SDR9C7 plasmid (Right) or empty vector (Left) for 48 hrs using GTX83671 SDR9C7 antibody [4B5].
Loading : 5 ug per lane

3 / 6
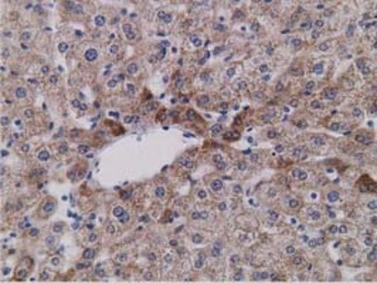
Anti-SDR9C7 antibody [4B5] used in IHC (Paraffin sections) (IHC-P). GTX83671
GTX83671 IHC-P Image

IHC-P analysis of human liver tissue using GTX83671 SDR9C7 antibody [4B5].
Antigen retrieval : Heat-induced epitope retrieval by 10mM citrate buffer, pH6.0, 100ºC for 10min.

4 / 6
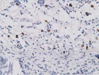
Anti-SDR9C7 antibody [4B5] used in IHC (Paraffin sections) (IHC-P). GTX83671
GTX83671 IHC-P Image

IHC-P analysis of human bladder tissue using GTX83671 SDR9C7 antibody [4B5].
Antigen retrieval : Heat-induced epitope retrieval by 10mM citrate buffer, pH6.0, 100ºC for 10min.

5 / 6
Anti-SDR9C7 antibody [4B5] used in Flow cytometry (FCM). GTX83671
GTX83671 FCM Image

FACS analysis of HEK293T cells transfected with either SDR9C7 plasmid(Red) or empty vector control plasmid(Blue) using GTX83671 SDR9C7 antibody [4B5].

6 / 6
Anti-SDR9C7 antibody [4B5] used in IHC (Paraffin sections) (IHC-P). GTX83671
Anti-SDR9C7 antibody [4B5] used in IHC (Paraffin sections) (IHC-P). GTX83671
Anti-SDR9C7 antibody [4B5] used in Western Blot (WB). GTX83671
Anti-SDR9C7 antibody [4B5] used in IHC (Paraffin sections) (IHC-P). GTX83671
Anti-SDR9C7 antibody [4B5] used in IHC (Paraffin sections) (IHC-P). GTX83671
Anti-SDR9C7 antibody [4B5] used in Flow cytometry (FCM). GTX83671
  • Host
    Mouse
  • Clonality
    Monoclonal
  • Clone Name
    4B5
  • Isotype
    IgG1
  • Applications
    WB IHC-P FCM
  • Reactivity
    Human
See all SDR9C7 products