SEC61A1 antibody

Cat. No. GTX106455
Cat. No.  GTX106455
Anti-SEC61A1 antibody used in Western Blot (WB). GTX106455
GTX106455 WB Image

SEC61A1 antibody detects SEC61A1 protein by Western blot analysis. K562 whole cell extracts and membrane extracts (30 μg) were separated by 10% SDS-PAGE, and the membrane was blotted with SEC61A1 antibody (GTX106455) diluted at 1:1000.

1 / 3
Anti-SEC61A1 antibody used in Immunocytochemistry/ Immunofluorescence (ICC/IF). GTX106455
GTX106455 ICC/IF Image

Immunofluorescence analysis of methanol-fixed A431, using SEC61A1(GTX106455) antibody at 1:200 dilution.

2 / 3
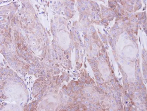
Anti-SEC61A1 antibody used in IHC (Paraffin sections) (IHC-P). GTX106455
GTX106455 IHC-P Image

Immunohistochemical analysis of paraffin-embedded Cal27 xenograft, using SEC61A1(GTX106455) antibody at 1:500 dilution.
Antigen Retrieval: Trilogy™ (EDTA based, pH 8.0) buffer, 15min

3 / 3
Anti-SEC61A1 antibody used in Western Blot (WB). GTX106455
Anti-SEC61A1 antibody used in Immunocytochemistry/ Immunofluorescence (ICC/IF). GTX106455
Anti-SEC61A1 antibody used in IHC (Paraffin sections) (IHC-P). GTX106455
  • Host
    Rabbit
  • Clonality
    Polyclonal
  • Isotype
    IgG
  • Applications
    WB ICC/IF IHC-P
  • Reactivity
    Human
See all SEC61A1 products