SET antibody, N-term

Cat. No. GTX89960
Cat. No.  GTX89960
Anti-SET antibody, N-term used in Western Blot (WB). GTX89960
GTX89960 WB Image

WB analysis of Daudi (A) and Molt-4 (B) cell lysate using GTX89960 SET antibody, N-term.
Dilution : 0.01μg/ml
Loading : 35μg protein in RIPA buffer

1 / 4
Anti-SET antibody, N-term used in IHC (Paraffin sections) (IHC-P). GTX89960
GTX89960 IHC-P Image

IHC-P analysis of human testis using GTX89960 SET antibody, N-term.
Antigen retrieval : citrate buffer pH 6
Dilution : 3.75μg/ml

2 / 4
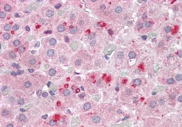
Anti-SET antibody, N-term used in IHC (Paraffin sections) (IHC-P). GTX89960
GTX89960 IHC-P Image

IHC-P analysis of human adrenal gland using GTX89960 SET antibody, N-term.
Antigen retrieval : citrate buffer pH 6
Dilution : 3.75μg/ml

3 / 4
Anti-SET antibody, N-term used in Western Blot (WB). GTX89960
GTX89960 WB Image

WB analysis of human kidney lysate using GTX89960 SET antibody, N-term.
Dilution : 0.3μg/ml
Loading : 35μg protein in RIPA buffer

4 / 4
Anti-SET antibody, N-term used in Western Blot (WB). GTX89960
Anti-SET antibody, N-term used in IHC (Paraffin sections) (IHC-P). GTX89960
Anti-SET antibody, N-term used in IHC (Paraffin sections) (IHC-P). GTX89960
Anti-SET antibody, N-term used in Western Blot (WB). GTX89960
  • Host
    Goat
  • Clonality
    Polyclonal
  • Isotype
    IgG
  • Applications
    WB IHC-P
  • Reactivity
    Human
See all SET products