SFRP2 antibody [C2C3], C-term

Cat. No. GTX111892
Cat. No.  GTX111892
Anti-SFRP2 antibody [C2C3], C-term used in Western Blot (WB). GTX111892
GTX111892 WB Image

Various whole cell extracts (30 μg) were separated by 12% SDS-PAGE, and the membrane was blotted with SFRP2 antibody [C2C3], C-term (GTX111892) diluted at 1:500. The HRP-conjugated anti-rabbit IgG antibody (GTX213110-01) was used to detect the primary antibody. Corresponding RNA expression data for the same cell lines are based on Human Protein Atlas program.

1 / 3
Anti-SFRP2 antibody [C2C3], C-term used in Immunocytochemistry/ Immunofluorescence (ICC/IF). GTX111892
GTX111892 ICC/IF Image

SFRP2 antibody [C2C3], C-term detects SFRP2 protein by immunofluorescent analysis.
Sample: HCT 116 cells were fixed in 4% paraformaldehyde at RT for 15 min.
Green: SFRP2 protein stained by SFRP2 antibody [C2C3], C-term (GTX111892) diluted at 1:500.
Blue: Hoechst 33342 staining.

2 / 3
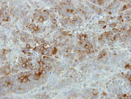
Anti-SFRP2 antibody [C2C3], C-term used in IHC (Paraffin sections) (IHC-P). GTX111892
GTX111892 IHC-P Image

Immunohistochemical analysis of paraffin-embedded MCF7 xenograft, using FRP 2(GTX111892) antibody at 1:500 dilution.
Antigen Retrieval: Trilogy™ (EDTA based, pH 8.0) buffer, 15min

3 / 3
Anti-SFRP2 antibody [C2C3], C-term used in Western Blot (WB). GTX111892
Anti-SFRP2 antibody [C2C3], C-term used in Immunocytochemistry/ Immunofluorescence (ICC/IF). GTX111892
Anti-SFRP2 antibody [C2C3], C-term used in IHC (Paraffin sections) (IHC-P). GTX111892
  • Host
    Rabbit
  • Clonality
    Polyclonal
  • Isotype
    IgG
  • Applications
    WB ICC/IF IHC-P
  • Reactivity
    Human, Pig
See all SFRP2 products