SGOL2 antibody

Cat. No. GTX86981
Cat. No.  GTX86981
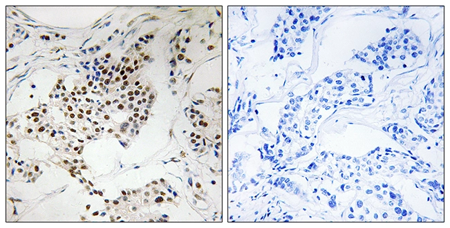
Anti-SGOL2 antibody used in IHC (Paraffin sections) (IHC-P). GTX86981
GTX86981 IHC-P Image

IHC-P analysis of human breast carcinoma tissue using GTX86981 SGOL2 antibody. The picture on the right is blocked with the synthesized peptide.

1 / 1
Anti-SGOL2 antibody used in IHC (Paraffin sections) (IHC-P). GTX86981
  • Host
    Rabbit
  • Clonality
    Polyclonal
  • Isotype
    IgG
  • Applications
    IHC-P
  • Reactivity
    Human
See all SGOL2 products