SH3GL1 antibody [3F8]

Cat. No. GTX83658
Cat. No.  GTX83658
Anti-SH3GL1 antibody [3F8] used in Western Blot (WB). GTX83658
GTX83658 WB Image

WB analysis of wild type and SH3GL1 knock out 293T cell lysate(10μg per lane) using GTX83658 SH3GL1 antibody [3F8].
Dilution : 1:500

1 / 6
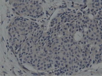
Anti-SH3GL1 antibody [3F8] used in IHC (Paraffin sections) (IHC-P). GTX83658
GTX83658 IHC-P Image

IHC-P analysis of human bladder carcinoma tissue using GTX83658 SH3GL1 antibody [3F8].
Antigen retrieval : Heat-induced epitope retrieval by 10mM citrate buffer, pH6.0, 100ºC for 10min.

2 / 6
Anti-SH3GL1 antibody [3F8] used in Immunocytochemistry/ Immunofluorescence (ICC/IF). GTX83658
GTX83658 ICC/IF Image

ICC/IF analysis of COS7 cells transiently transfected with SH3GL1 plasmid using GTX83658 SH3GL1 antibody [3F8].

3 / 6
Anti-SH3GL1 antibody [3F8] used in Western Blot (WB). GTX83658
GTX83658 WB Image

WB analysis of various cell lines using GTX83658 SH3GL1 antibody [3F8].
Loading : 35 ug per lane
Dilution : 1:200

4 / 6
Anti-SH3GL1 antibody [3F8] used in Western Blot (WB). GTX83658
GTX83658 WB Image

WB analysis of HEK293T cells transfected with SH3GL1 plasmid (Right) or empty vector (Left) for 48 hrs using GTX83658 SH3GL1 antibody [3F8].
Loading : 5 ug per lane

5 / 6
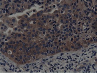
Anti-SH3GL1 antibody [3F8] used in IHC (Paraffin sections) (IHC-P). GTX83658
GTX83658 IHC-P Image

IHC-P analysis of human breast adenocarcinoma tissue using GTX83658 SH3GL1 antibody [3F8].
Antigen retrieval : Heat-induced epitope retrieval by 10mM citrate buffer, pH6.0, 100ºC for 10min.

6 / 6
Anti-SH3GL1 antibody [3F8] used in Western Blot (WB). GTX83658
Anti-SH3GL1 antibody [3F8] used in IHC (Paraffin sections) (IHC-P). GTX83658
Anti-SH3GL1 antibody [3F8] used in Immunocytochemistry/ Immunofluorescence (ICC/IF). GTX83658
Anti-SH3GL1 antibody [3F8] used in Western Blot (WB). GTX83658
Anti-SH3GL1 antibody [3F8] used in Western Blot (WB). GTX83658
Anti-SH3GL1 antibody [3F8] used in IHC (Paraffin sections) (IHC-P). GTX83658
  • Host
    Mouse
  • Clonality
    Monoclonal
  • Clone Name
    3F8
  • Isotype
    IgG1
  • Applications
    WB ICC/IF IHC-P
  • Reactivity
    Human, Mouse, Monkey
See all SH3GL1 products