SHMT2 antibody [ARC78312]

Cat. No. GTX05153
Cat. No.  GTX05153
Anti-SHMT2 antibody [ARC78312] used in Western Blot (WB). GTX05153
GTX05153 WB Image

WB analysis of various samples using GTX05153 SHMT2 antibody [ARC78312].
Loading : 25μg
Dilution : 1:5000

1 / 10
Anti-SHMT2 antibody [ARC78312] used in Immunocytochemistry/ Immunofluorescence (ICC/IF). GTX05153
GTX05153 ICC/IF Image

ICC/IF analysis of HepG2 cells using GTX05153 SHMT2 antibody [ARC78312].
Orange : Primary antibody
Green :α-Tubulin
Blue : DAPI
Dilution : 1:200

2 / 10
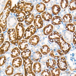
Anti-SHMT2 antibody [ARC78312] used in IHC (Paraffin sections) (IHC-P). GTX05153
GTX05153 IHC-P Image

IHC-P analysis of mouse kidney tissue using GTX05153 SHMT2 antibody [ARC78312].
Antigen retrieval : Heat pressure antigen retrieval performed with 0.01M Tris-EDTA Buffer (pH 9.0)
Dilution : 1:2000

3 / 10
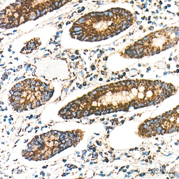
Anti-SHMT2 antibody [ARC78312] used in IHC (Paraffin sections) (IHC-P). GTX05153
GTX05153 IHC-P Image

IHC-P analysis of human colon tissue using GTX05153 SHMT2 antibody [ARC78312].
Antigen retrieval : Heat pressure antigen retrieval performed with 0.01M Tris-EDTA Buffer (pH 9.0)
Dilution : 1:2000

4 / 10
Anti-SHMT2 antibody [ARC78312] used in IHC (Paraffin sections) (IHC-P). GTX05153
GTX05153 IHC-P Image

IHC-P analysis of mouse kidney tissue using GTX05153 SHMT2 antibody [ARC78312].
Antigen retrieval : Heat pressure antigen retrieval performed with 0.01M Citrate Buffer (pH 6.0)
Red : Primary antibody
Blue : DAPI
Dilution : 1:200

5 / 10
Anti-SHMT2 antibody [ARC78312] used in Immunocytochemistry/ Immunofluorescence (ICC/IF). GTX05153
GTX05153 ICC/IF Image

ICC/IF analysis of HeLa cells using GTX05153 SHMT2 antibody [ARC78312].
Orange : Primary antibody
Green :α-Tubulin
Blue : DAPI
Dilution : 1:200

6 / 10
Anti-SHMT2 antibody [ARC78312] used in IHC (Paraffin sections) (IHC-P). GTX05153
GTX05153 IHC-P Image

IHC-P analysis of human pancreas tissue using GTX05153 SHMT2 antibody [ARC78312].
Antigen retrieval : Heat pressure antigen retrieval performed with 0.01M Tris-EDTA Buffer (pH 9.0)
Dilution : 1:2000

7 / 10
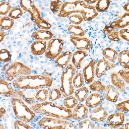
Anti-SHMT2 antibody [ARC78312] used in IHC (Paraffin sections) (IHC-P). GTX05153
GTX05153 IHC-P Image

IHC-P analysis of rat kidney tissue using GTX05153 SHMT2 antibody [ARC78312].
Antigen retrieval : Heat pressure antigen retrieval performed with 0.01M Tris-EDTA Buffer (pH 9.0)
Dilution : 1:2000

8 / 10
Anti-SHMT2 antibody [ARC78312] used in Western Blot (WB). GTX05153
GTX05153 WB Image

WB analysis of HepG2 whole cell lysate using GTX05153 SHMT2 antibody [ARC78312].
Loading : 25μg
Dilution : 1:5000

9 / 10
Anti-SHMT2 antibody [ARC78312] used in Western Blot (WB). GTX05153
GTX05153 WB Image

WB analysis of wild type (WT) and SHMT2 knockout (KO) HeLa whole cell lysates using GTX05153 SHMT2 antibody [ARC78312].
Loading : 25μg
Dilution : 1:5000

10 / 10
Anti-SHMT2 antibody [ARC78312] used in Western Blot (WB). GTX05153
Anti-SHMT2 antibody [ARC78312] used in Immunocytochemistry/ Immunofluorescence (ICC/IF). GTX05153
Anti-SHMT2 antibody [ARC78312] used in IHC (Paraffin sections) (IHC-P). GTX05153
Anti-SHMT2 antibody [ARC78312] used in IHC (Paraffin sections) (IHC-P). GTX05153
Anti-SHMT2 antibody [ARC78312] used in IHC (Paraffin sections) (IHC-P). GTX05153
Anti-SHMT2 antibody [ARC78312] used in Immunocytochemistry/ Immunofluorescence (ICC/IF). GTX05153
Anti-SHMT2 antibody [ARC78312] used in IHC (Paraffin sections) (IHC-P). GTX05153
Anti-SHMT2 antibody [ARC78312] used in IHC (Paraffin sections) (IHC-P). GTX05153
Anti-SHMT2 antibody [ARC78312] used in Western Blot (WB). GTX05153
Anti-SHMT2 antibody [ARC78312] used in Western Blot (WB). GTX05153
  • Host
    Rabbit
  • Clonality
    Monoclonal
  • Clone Name
    ARC78312
  • Isotype
    IgG
  • Applications
    WB ICC/IF IHC-P
  • Reactivity
    Human, Mouse, Rat
See all SHMT2 products