SIL1 antibody [1F9]

Cat. No. GTX83645
Cat. No.  GTX83645
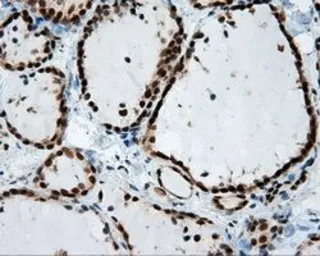
Anti-SIL1 antibody [1F9] used in IHC (Paraffin sections) (IHC-P). GTX83645
GTX83645 IHC-P Image

IHC-P analysis of kidney tissue using GTX83645 SIL1 antibody [1F9].
Antigen retrieval : Heat-induced epitope retrieval by 10mM citrate buffer, pH6.0, 100ºC for 10min.
Dilution : 1:50

1 / 14
Anti-SIL1 antibody [1F9] used in IHC (Paraffin sections) (IHC-P). GTX83645
GTX83645 IHC-P Image

IHC-P analysis of prostate carcinoma tissue using GTX83645 SIL1 antibody [1F9].
Antigen retrieval : Heat-induced epitope retrieval by 10mM citrate buffer, pH6.0, 100ºC for 10min.
Dilution : 1:50

2 / 14
Anti-SIL1 antibody [1F9] used in IHC (Paraffin sections) (IHC-P). GTX83645
GTX83645 IHC-P Image

IHC-P analysis of liver tissue using GTX83645 SIL1 antibody [1F9].
Antigen retrieval : Heat-induced epitope retrieval by 10mM citrate buffer, pH6.0, 100ºC for 10min.
Dilution : 1:50

3 / 14
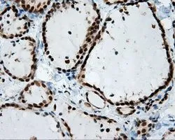
Anti-SIL1 antibody [1F9] used in IHC (Paraffin sections) (IHC-P). GTX83645
GTX83645 IHC-P Image

IHC-P analysis of pancreas carcinoma tissue using GTX83645 SIL1 antibody [1F9].
Antigen retrieval : Heat-induced epitope retrieval by 10mM citrate buffer, pH6.0, 100ºC for 10min.
Dilution : 1:50

4 / 14
Anti-SIL1 antibody [1F9] used in IHC (Paraffin sections) (IHC-P). GTX83645
GTX83645 IHC-P Image

IHC-P analysis of breast adenocarcinoma tissue using GTX83645 SIL1 antibody [1F9].
Antigen retrieval : Heat-induced epitope retrieval by 10mM citrate buffer, pH6.0, 100ºC for 10min.
Dilution : 1:50

5 / 14
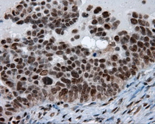
Anti-SIL1 antibody [1F9] used in IHC (Paraffin sections) (IHC-P). GTX83645
GTX83645 IHC-P Image

IHC-P analysis of human ovary adenocarcinoma tissue using GTX83645 SIL1 antibody [1F9].
Antigen retrieval : Heat-induced epitope retrieval by 10mM citrate buffer, pH6.0, 100ºC for 10min.
Dilution : 1:50

6 / 14
Anti-SIL1 antibody [1F9] used in Immunocytochemistry/ Immunofluorescence (ICC/IF). GTX83645
GTX83645 ICC/IF Image

ICC/IF analysis of HepG2 cells using GTX83645 SIL1 antibody [1F9].

7 / 14
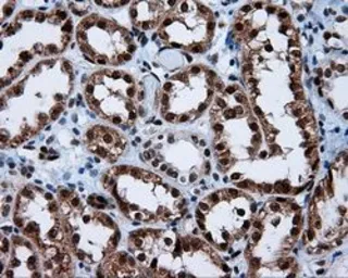
Anti-SIL1 antibody [1F9] used in IHC (Paraffin sections) (IHC-P). GTX83645
GTX83645 IHC-P Image

IHC-P analysis of pancreas tissue using GTX83645 SIL1 antibody [1F9].
Antigen retrieval : Heat-induced epitope retrieval by 10mM citrate buffer, pH6.0, 100ºC for 10min.
Dilution : 1:50

8 / 14
Anti-SIL1 antibody [1F9] used in Western Blot (WB). GTX83645
GTX83645 WB Image

WB analysis of HEK293T cells transfected with SIL1 plasmid (Right) or empty vector (Left) for 48 hrs using GTX83645 SIL1 antibody [1F9].
Loading : 5 ug per lane

9 / 14
Anti-SIL1 antibody [1F9] used in IHC (Paraffin sections) (IHC-P). GTX83645
GTX83645 IHC-P Image

IHC-P analysis of breast tissue using GTX83645 SIL1 antibody [1F9].
Antigen retrieval : Heat-induced epitope retrieval by 10mM citrate buffer, pH6.0, 100ºC for 10min.
Dilution : 1:50

10 / 14
Anti-SIL1 antibody [1F9] used in Immunocytochemistry/ Immunofluorescence (ICC/IF). GTX83645
GTX83645 ICC/IF Image

ICC/IF analysis of COS7 cells transiently transfected with SIL1 plasmid using GTX83645 SIL1 antibody [1F9].

11 / 14
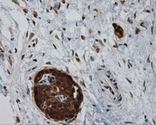
Anti-SIL1 antibody [1F9] used in IHC (Paraffin sections) (IHC-P). GTX83645
GTX83645 IHC-P Image

IHC-P analysis of colon adenocarcinoma tissue using GTX83645 SIL1 antibody [1F9].
Antigen retrieval : Heat-induced epitope retrieval by 10mM citrate buffer, pH6.0, 100ºC for 10min.
Dilution : 1:50

12 / 14
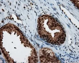
Anti-SIL1 antibody [1F9] used in IHC (Paraffin sections) (IHC-P). GTX83645
GTX83645 IHC-P Image

IHC-P analysis of prostate tissue using GTX83645 SIL1 antibody [1F9].
Antigen retrieval : Heat-induced epitope retrieval by 10mM citrate buffer, pH6.0, 100ºC for 10min.
Dilution : 1:50

13 / 14
Anti-SIL1 antibody [1F9] used in IHC (Paraffin sections) (IHC-P). GTX83645
GTX83645 IHC-P Image

IHC-P analysis of thyroid tissue using GTX83645 SIL1 antibody [1F9].
Antigen retrieval : Heat-induced epitope retrieval by 10mM citrate buffer, pH6.0, 100ºC for 10min.
Dilution : 1:50

14 / 14
Anti-SIL1 antibody [1F9] used in IHC (Paraffin sections) (IHC-P). GTX83645
Anti-SIL1 antibody [1F9] used in IHC (Paraffin sections) (IHC-P). GTX83645
Anti-SIL1 antibody [1F9] used in IHC (Paraffin sections) (IHC-P). GTX83645
Anti-SIL1 antibody [1F9] used in IHC (Paraffin sections) (IHC-P). GTX83645
Anti-SIL1 antibody [1F9] used in IHC (Paraffin sections) (IHC-P). GTX83645
Anti-SIL1 antibody [1F9] used in IHC (Paraffin sections) (IHC-P). GTX83645
Anti-SIL1 antibody [1F9] used in Immunocytochemistry/ Immunofluorescence (ICC/IF). GTX83645
Anti-SIL1 antibody [1F9] used in IHC (Paraffin sections) (IHC-P). GTX83645
Anti-SIL1 antibody [1F9] used in Western Blot (WB). GTX83645
Anti-SIL1 antibody [1F9] used in IHC (Paraffin sections) (IHC-P). GTX83645
Anti-SIL1 antibody [1F9] used in Immunocytochemistry/ Immunofluorescence (ICC/IF). GTX83645
Anti-SIL1 antibody [1F9] used in IHC (Paraffin sections) (IHC-P). GTX83645
Anti-SIL1 antibody [1F9] used in IHC (Paraffin sections) (IHC-P). GTX83645
Anti-SIL1 antibody [1F9] used in IHC (Paraffin sections) (IHC-P). GTX83645
  • Host
    Mouse
  • Clonality
    Monoclonal
  • Clone Name
    1F9
  • Isotype
    IgG1
  • Applications
    WB ICC/IF IHC-P
  • Reactivity
    Human
See all SIL1 products