SIPR3 antibody

Cat. No. GTX77925
Cat. No.  GTX77925
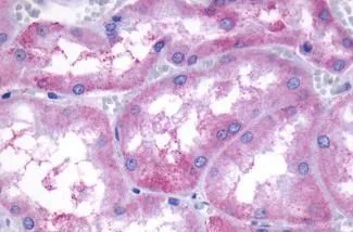
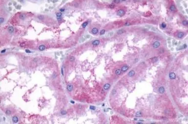
Anti-SIPR3 antibody used in IHC (Paraffin sections) (IHC-P). GTX77925
GTX77925 IHC-P Image

IHC-P analysis of human kidney tissue using GTX77925 EDG3 antibody.
Antigen retrieval : Heat-induced antigen retrieval

1 / 2
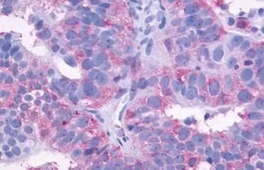
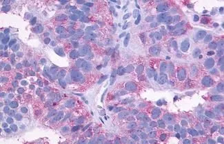
Anti-SIPR3 antibody used in IHC (Paraffin sections) (IHC-P). GTX77925
GTX77925 IHC-P Image

IHC-P analysis of human ovary, carcinoma tissue using GTX77925 EDG3 antibody.
Antigen retrieval : Heat-induced antigen retrieval

2 / 2
Anti-SIPR3 antibody used in IHC (Paraffin sections) (IHC-P). GTX77925
Anti-SIPR3 antibody used in IHC (Paraffin sections) (IHC-P). GTX77925
  • Host
    Rabbit
  • Clonality
    Polyclonal
  • Isotype
    IgG
  • Applications
    IHC-P
  • Reactivity
    Human
See all EDG3 products