SKP2 antibody

Cat. No. GTX66503
Cat. No.  GTX66503
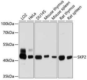
Anti-SKP2 antibody used in Western Blot (WB). GTX66503
GTX66503 WB Image

WB analysis of various sample lysates using GTX66503 SKP2 antibody.
Dilution : 1:1000
Loading : 25μg per lane

1 / 4
Anti-SKP2 antibody used in Immunocytochemistry/ Immunofluorescence (ICC/IF). GTX66503
GTX66503 ICC/IF Image

ICC/IF analysis of L929 cells using GTX66503 SKP2 antibody.
Blue : DAPI
Dilution : 1:100

2 / 4
Anti-SKP2 antibody used in Immunocytochemistry/ Immunofluorescence (ICC/IF). GTX66503
GTX66503 ICC/IF Image

ICC/IF analysis of U2OS cells using GTX66503 SKP2 antibody.
Blue : DAPI
Dilution : 1:100

3 / 4
Anti-SKP2 antibody used in Immunocytochemistry/ Immunofluorescence (ICC/IF). GTX66503
GTX66503 ICC/IF Image

ICC/IF analysis of C6 cells using GTX66503 SKP2 antibody.
Blue : DAPI
Dilution : 1:100

4 / 4
Anti-SKP2 antibody used in Western Blot (WB). GTX66503
Anti-SKP2 antibody used in Immunocytochemistry/ Immunofluorescence (ICC/IF). GTX66503
Anti-SKP2 antibody used in Immunocytochemistry/ Immunofluorescence (ICC/IF). GTX66503
Anti-SKP2 antibody used in Immunocytochemistry/ Immunofluorescence (ICC/IF). GTX66503
  • Host
    Rabbit
  • Clonality
    Polyclonal
  • Isotype
    IgG
  • Applications
    WB ICC/IF
  • Reactivity
    Human, Mouse, Rat
See all SKP2 products