SLC20A1 antibody

Cat. No. GTX04583
Cat. No.  GTX04583
Anti-SLC20A1 antibody used in IHC (Paraffin sections) (IHC-P). GTX04583
GTX04583 IHC-P Image

IHC-P analysis of rat brain tissue using GTX04583 SLC20A1 antibody.
Antigen retrieval : Heat mediated EDTA buffer (pH 8.0)
Dilution : 2 μg/mL

1 / 16
Anti-SLC20A1 antibody used in Western Blot (WB). GTX04583
GTX04583 WB Image

WB analysis of various samples using GTX04583 SLC20A1 antibody.
Lane 1 : rat kidney tissue lysate
Lane 2 : rat brain tissue lysate
Lane 3 : C6 whole cell lysate
Lane 4 : mouse kidney tissue lysate
Lane 5 : mouse brain tissue lysate
Lane 6 : Neuro-2a whole cell lysate
Loading : 30 μg
Dilution : 0.5 μg/mL

2 / 16
Anti-SLC20A1 antibody used in IHC (Paraffin sections) (IHC-P). GTX04583
GTX04583 IHC-P Image

IHC-P analysis of human rectal cancer tissue using GTX04583 SLC20A1 antibody.
Antigen retrieval : Heat mediated EDTA buffer (pH 8.0)
Dilution : 5 μg/mL
Green : Primary antibody
Blue : DAPI

3 / 16
Anti-SLC20A1 antibody used in IHC (Paraffin sections) (IHC-P). GTX04583
GTX04583 IHC-P Image

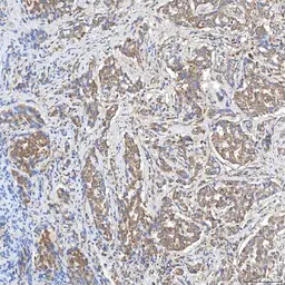
IHC-P analysis of human larynx squamous cell carcinoma tissue using GTX04583 SLC20A1 antibody.
Antigen retrieval : Heat mediated EDTA buffer (pH 8.0)
Dilution : 2 μg/mL

4 / 16
Anti-SLC20A1 antibody used in IHC (Paraffin sections) (IHC-P). GTX04583
GTX04583 IHC-P Image

IHC-P analysis of human ovary serous carcinoma tissue using GTX04583 SLC20A1 antibody.
Antigen retrieval : Heat mediated EDTA buffer (pH 8.0)
Dilution : 2 μg/mL

5 / 16
Anti-SLC20A1 antibody used in IHC (Paraffin sections) (IHC-P). GTX04583
GTX04583 IHC-P Image

IHC-P analysis of mouse kidney tissue using GTX04583 SLC20A1 antibody.
Antigen retrieval : Heat mediated EDTA buffer (pH 8.0)
Dilution : 2 μg/mL

6 / 16
Anti-SLC20A1 antibody used in IHC (Paraffin sections) (IHC-P). GTX04583
GTX04583 IHC-P Image

IHC-P analysis of human breast cancer tissue using GTX04583 SLC20A1 antibody.
Antigen retrieval : Heat mediated EDTA buffer (pH 8.0)
Dilution : 2 μg/mL

7 / 16
Anti-SLC20A1 antibody used in IHC (Paraffin sections) (IHC-P). GTX04583
GTX04583 IHC-P Image

IHC-P analysis of human thyroid papillary carcinoma tissue using GTX04583 SLC20A1 antibody.
Antigen retrieval : Heat mediated EDTA buffer (pH 8.0)
Dilution : 2 μg/mL

8 / 16
Anti-SLC20A1 antibody used in IHC (Paraffin sections) (IHC-P). GTX04583
GTX04583 IHC-P Image

IHC-P analysis of rat cerebellum tissue using GTX04583 SLC20A1 antibody.
Antigen retrieval : Heat mediated EDTA buffer (pH 8.0)
Dilution : 2 μg/mL

9 / 16
Anti-SLC20A1 antibody used in IHC (Paraffin sections) (IHC-P). GTX04583
GTX04583 IHC-P Image

IHC-P analysis of rat colon tissue using GTX04583 SLC20A1 antibody.
Antigen retrieval : Heat mediated EDTA buffer (pH 8.0)
Dilution : 2 μg/mL

10 / 16
Anti-SLC20A1 antibody used in IHC (Paraffin sections) (IHC-P). GTX04583
GTX04583 IHC-P Image

IHC-P analysis of human colon adenocarcinoma tissue using GTX04583 SLC20A1 antibody.
Antigen retrieval : Heat mediated EDTA buffer (pH 8.0)
Dilution : 2 μg/mL

11 / 16
Anti-SLC20A1 antibody used in IHC (Paraffin sections) (IHC-P). GTX04583
GTX04583 IHC-P Image

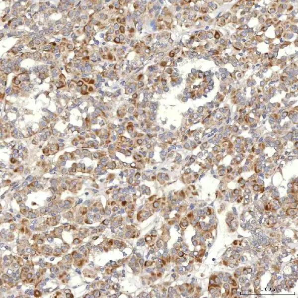
IHC-P analysis of human liver cancer tissue using GTX04583 SLC20A1 antibody.
Antigen retrieval : Heat mediated EDTA buffer (pH 8.0)
Dilution : 2 μg/mL

12 / 16
Anti-SLC20A1 antibody used in IHC (Paraffin sections) (IHC-P). GTX04583
GTX04583 IHC-P Image

IHC-P analysis of rat kidney tissue using GTX04583 SLC20A1 antibody.
Antigen retrieval : Heat mediated EDTA buffer (pH 8.0)
Dilution : 2 μg/mL

13 / 16
Anti-SLC20A1 antibody used in IHC (Paraffin sections) (IHC-P). GTX04583
GTX04583 IHC-P Image

IHC-P analysis of mouse colon tissue using GTX04583 SLC20A1 antibody.
Antigen retrieval : Heat mediated EDTA buffer (pH 8.0)
Dilution : 2 μg/mL

14 / 16
Anti-SLC20A1 antibody used in IHC (Paraffin sections) (IHC-P). GTX04583
GTX04583 IHC-P Image

IHC-P analysis of mouse cerebellum tissue using GTX04583 SLC20A1 antibody.
Antigen retrieval : Heat mediated EDTA buffer (pH 8.0)
Dilution : 2 μg/mL

15 / 16
Anti-SLC20A1 antibody used in IHC (Paraffin sections) (IHC-P). GTX04583
GTX04583 IHC-P Image

IHC-P analysis of human lung adenocarcinoma tissue using GTX04583 SLC20A1 antibody.
Antigen retrieval : Heat mediated EDTA buffer (pH 8.0)
Dilution : 2 μg/mL

16 / 16
Anti-SLC20A1 antibody used in IHC (Paraffin sections) (IHC-P). GTX04583
Anti-SLC20A1 antibody used in Western Blot (WB). GTX04583
Anti-SLC20A1 antibody used in IHC (Paraffin sections) (IHC-P). GTX04583
Anti-SLC20A1 antibody used in IHC (Paraffin sections) (IHC-P). GTX04583
Anti-SLC20A1 antibody used in IHC (Paraffin sections) (IHC-P). GTX04583
Anti-SLC20A1 antibody used in IHC (Paraffin sections) (IHC-P). GTX04583
Anti-SLC20A1 antibody used in IHC (Paraffin sections) (IHC-P). GTX04583
Anti-SLC20A1 antibody used in IHC (Paraffin sections) (IHC-P). GTX04583
Anti-SLC20A1 antibody used in IHC (Paraffin sections) (IHC-P). GTX04583
Anti-SLC20A1 antibody used in IHC (Paraffin sections) (IHC-P). GTX04583
Anti-SLC20A1 antibody used in IHC (Paraffin sections) (IHC-P). GTX04583
Anti-SLC20A1 antibody used in IHC (Paraffin sections) (IHC-P). GTX04583
Anti-SLC20A1 antibody used in IHC (Paraffin sections) (IHC-P). GTX04583
Anti-SLC20A1 antibody used in IHC (Paraffin sections) (IHC-P). GTX04583
Anti-SLC20A1 antibody used in IHC (Paraffin sections) (IHC-P). GTX04583
Anti-SLC20A1 antibody used in IHC (Paraffin sections) (IHC-P). GTX04583
  • Host
    Rabbit
  • Clonality
    Polyclonal
  • Isotype
    IgG
  • Applications
    WB IHC-P ELISA
  • Reactivity
    Human, Mouse, Rat
See all SLC20A1 products