SLC25A1 antibody [HL4228]

Cat. No. GTX643061
Cat. No.  GTX643061
Anti-SLC25A1 antibody [HL4228] used in IHC (Paraffin sections) (IHC-P). GTX643061
GTX643061 IHC-P Image

SLC25A1 antibody [HL4228] detects SLC25A1 protein by immunohistochemical analysis.
Sample: Paraffin-embedded human tissues.
SLC25A1 stained by SLC25A1 antibody [HL4228] (GTX643061) diluted at 1:200.
Antigen Retrieval: Tris-EDTA buffer, pH 9.0, 15 min

1 / 4
Anti-SLC25A1 antibody [HL4228] used in IHC (Paraffin sections) (IHC-P). GTX643061
GTX643061 IHC-P Image

SLC25A1 antibody [HL4228] detects SLC25A1 protein by immunohistochemical analysis.
Sample: Paraffin-embedded human tissues.
SLC25A1 stained by SLC25A1 antibody [HL4228] (GTX643061) diluted at 1:200.
Antigen Retrieval: Tris-EDTA buffer, pH 9.0, 15 min

2 / 4
Anti-SLC25A1 antibody [HL4228] used in Immunocytochemistry/ Immunofluorescence (ICC/IF). GTX643061
GTX643061 ICC/IF Image

SLC25A1 antibody [HL4228] detects SLC25A1 protein by immunofluorescent analysis.
Sample: HepG2 cells were fixed in ice-cold MeOH for 5 min.
Green: SLC25A1 stained by SLC25A1 antibody [HL4228] (GTX643061) diluted at 1:500.
Red: alpha Tubulin, a cytoskeleton marker, stained by alpha Tubulin antibody [GT114] (GTX628802) diluted at 1:1000.
Blue: Fluoroshield with DAPI (GTX30920).

3 / 4
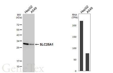
Anti-SLC25A1 antibody [HL4228] used in Western Blot (WB). GTX643061
GTX643061 WB Image

Various whole cell extracts (30 μg) were separated by 12% SDS-PAGE, and the membrane was blotted with SLC25A1 antibody [HL4228] (GTX643061) diluted at 1:1000. The HRP-conjugated anti-rabbit IgG antibody (GTX213110-01) was used to detect the primary antibody. Corresponding RNA expression data are based on Human Protein Atlas program.

4 / 4
Anti-SLC25A1 antibody [HL4228] used in IHC (Paraffin sections) (IHC-P). GTX643061
Anti-SLC25A1 antibody [HL4228] used in IHC (Paraffin sections) (IHC-P). GTX643061
Anti-SLC25A1 antibody [HL4228] used in Immunocytochemistry/ Immunofluorescence (ICC/IF). GTX643061
Anti-SLC25A1 antibody [HL4228] used in Western Blot (WB). GTX643061
  • Host
    Rabbit
  • Clonality
    Monoclonal
  • Clone Name
    HL4228
  • Isotype
    IgG
  • Applications
    WB ICC/IF IHC-P
  • Reactivity
    Human
See all SLC25A1 products