SLC25A1 antibody

Cat. No. GTX64580
Cat. No.  GTX64580
Anti-SLC25A1 antibody used in IHC (Paraffin sections) (IHC-P). GTX64580
GTX64580 IHC-P Image

IHC-P analysis of human lung cancer tissue using GTX64580 SLC25A1 antibody.
Dilution : 1:100

1 / 4
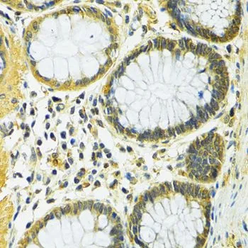
Anti-SLC25A1 antibody used in IHC (Paraffin sections) (IHC-P). GTX64580
GTX64580 IHC-P Image

IHC-P analysis of human colon tissue using GTX64580 SLC25A1 antibody.
Dilution : 1:100

2 / 4
Anti-SLC25A1 antibody used in Western Blot (WB). GTX64580
GTX64580 WB Image

WB analysis of various sample lysates using GTX64580 SLC25A1 antibody.
Dilution : 1:1000
Loading : 25μg per lane

3 / 4
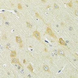
Anti-SLC25A1 antibody used in IHC (Paraffin sections) (IHC-P). GTX64580
GTX64580 IHC-P Image

IHC-P analysis of rat brain tissue using GTX64580 SLC25A1 antibody.
Dilution : 1:100

4 / 4
Anti-SLC25A1 antibody used in IHC (Paraffin sections) (IHC-P). GTX64580
Anti-SLC25A1 antibody used in IHC (Paraffin sections) (IHC-P). GTX64580
Anti-SLC25A1 antibody used in Western Blot (WB). GTX64580
Anti-SLC25A1 antibody used in IHC (Paraffin sections) (IHC-P). GTX64580
  • Host
    Rabbit
  • Clonality
    Polyclonal
  • Isotype
    IgG
  • Applications
    WB IHC-P
  • Reactivity
    Human, Rat
See all SLC25A1 products