SLC25A24 antibody

Cat. No. GTX64897
Cat. No.  GTX64897
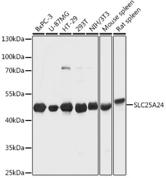
Anti-SLC25A24 antibody used in Western Blot (WB). GTX64897
GTX64897 WB Image

WB analysis of various sample lysates using GTX64897 SLC25A24 antibody.
Dilution : 1:1000
Loading : 25μg per lane

1 / 4
Anti-SLC25A24 antibody used in Immunocytochemistry/ Immunofluorescence (ICC/IF). GTX64897
GTX64897 ICC/IF Image

ICC/IF analysis of HeLa cells using GTX64897 SLC25A24 antibody.
Blue : DAPI
Dilution : 1:100

2 / 4
Anti-SLC25A24 antibody used in Immunocytochemistry/ Immunofluorescence (ICC/IF). GTX64897
GTX64897 ICC/IF Image

ICC/IF analysis of C6 cells using GTX64897 SLC25A24 antibody.
Blue : DAPI
Dilution : 1:100

3 / 4
Anti-SLC25A24 antibody used in Immunocytochemistry/ Immunofluorescence (ICC/IF). GTX64897
GTX64897 ICC/IF Image

ICC/IF analysis of NIH/3T3 cells using GTX64897 SLC25A24 antibody.
Blue : DAPI
Dilution : 1:100

4 / 4
Anti-SLC25A24 antibody used in Western Blot (WB). GTX64897
Anti-SLC25A24 antibody used in Immunocytochemistry/ Immunofluorescence (ICC/IF). GTX64897
Anti-SLC25A24 antibody used in Immunocytochemistry/ Immunofluorescence (ICC/IF). GTX64897
Anti-SLC25A24 antibody used in Immunocytochemistry/ Immunofluorescence (ICC/IF). GTX64897
  • Host
    Rabbit
  • Clonality
    Polyclonal
  • Isotype
    IgG
  • Applications
    WB ICC/IF
  • Reactivity
    Human, Mouse, Rat
See all SLC25A24 products