SLC25A46 antibody [N2C2], Internal

Cat. No. GTX122233
Cat. No.  GTX122233
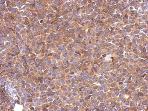
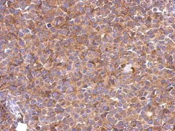
Anti-SLC25A46 antibody [N2C2], Internal used in IHC (Paraffin sections) (IHC-P). GTX122233
GTX122233 IHC-P Image

Immunohistochemical analysis of paraffin-embedded Huh-7 xenograft, using SLC25A46(GTX122233) antibody at 1:500 dilution.
Antigen Retrieval: Trilogy™ (EDTA based, pH 8.0) buffer, 15min

1 / 2
Anti-SLC25A46 antibody [N2C2], Internal used in Western Blot (WB). GTX122233
GTX122233 WB Image

Sample (30 ug of whole cell lysate)
A: HeLa
B: HeLa membrane
10% SDS PAGE
GTX122233 diluted at 1:500

2 / 2
Anti-SLC25A46 antibody [N2C2], Internal used in IHC (Paraffin sections) (IHC-P). GTX122233
Anti-SLC25A46 antibody [N2C2], Internal used in Western Blot (WB). GTX122233
  • Host
    Rabbit
  • Clonality
    Polyclonal
  • Isotype
    IgG
  • Applications
    WB IHC-P
  • Reactivity
    Human
See all SLC25A46 products