SLC26A4 antibody, Internal

Cat. No. GTX47124
Cat. No.  GTX47124
Anti-SLC26A4 antibody, Internal used in Western Blot (WB). GTX47124
GTX47124 WB Image

WB analysis of COLO205 cells using GTX47124 SLC26A4 antibody at 0.2-1μg/ml.

1 / 2
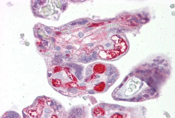
Anti-SLC26A4 antibody, Internal used in IHC (Paraffin sections) (IHC-P). GTX47124
GTX47124 IHC-P Image

IHC-P analysis of human placenta tissue using GTX47124 SLC26A4 antibody at 5μg/ml.

2 / 2
Anti-SLC26A4 antibody, Internal used in Western Blot (WB). GTX47124
Anti-SLC26A4 antibody, Internal used in IHC (Paraffin sections) (IHC-P). GTX47124
  • Host
    Rabbit
  • Clonality
    Polyclonal
  • Isotype
    IgG
  • Applications
    WB IHC-P
  • Reactivity
    Human
See all SLC26A4 products