SLC27A2 antibody [6B3A9]

Cat. No. GTX60795
Cat. No.  GTX60795
Anti-SLC27A2 antibody [6B3A9] used in ELISA (ELISA). GTX60795
GTX60795 ELISA Image

ELISA analysis of antigen using GTX60795 SLC27A2 antibody [6B3A9].
Black : Control antigen 100ng
Purple : Antigen 10ng
Blue : Antigen 50ng
Red : Antigen 100ng

1 / 4
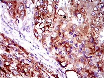
Anti-SLC27A2 antibody [6B3A9] used in IHC (Paraffin sections) (IHC-P). GTX60795
GTX60795 IHC-P Image

IHC-P analysis of liver cancer tissue using GTX60795 SLC27A2 antibody [6B3A9].

2 / 4
Anti-SLC27A2 antibody [6B3A9] used in IHC (Paraffin sections) (IHC-P). GTX60795
GTX60795 IHC-P Image

IHC-P analysis of esophageal cancer tissue using GTX60795 SLC27A2 antibody [6B3A9].

3 / 4
Anti-SLC27A2 antibody [6B3A9] used in Western Blot (WB). GTX60795
GTX60795 WB Image

WB analysis of HEK293 (1) and SLC27A2 (AA: 346-405)-hIgGFc transfected HEK293 (2) cell lysate using GTX60795 SLC27A2 antibody [6B3A9].

4 / 4
Anti-SLC27A2 antibody [6B3A9] used in ELISA (ELISA). GTX60795
Anti-SLC27A2 antibody [6B3A9] used in IHC (Paraffin sections) (IHC-P). GTX60795
Anti-SLC27A2 antibody [6B3A9] used in IHC (Paraffin sections) (IHC-P). GTX60795
Anti-SLC27A2 antibody [6B3A9] used in Western Blot (WB). GTX60795
  • Host
    Mouse
  • Clonality
    Monoclonal
  • Clone Name
    6B3A9
  • Isotype
    IgG1
  • Applications
    WB IHC-P ELISA
  • Reactivity
    Human
See all SLC27A2 products