SLC35F2 antibody, N-term

Cat. No. GTX46812
Cat. No.  GTX46812
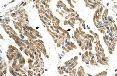
Anti-SLC35F2 antibody, N-term used in IHC (Paraffin sections) (IHC-P). GTX46812
GTX46812 IHC-P Image

IHC-P analysis of human skeletal muscle tissue using GTX46812 SLC35F2 antibody at 4.0-8.0μg/ml.

1 / 2
Anti-SLC35F2 antibody, N-term used in Western Blot (WB). GTX46812
GTX46812 WB Image

WB analysis of 293T cells using GTX46812 SLC35F2 antibody at 2.5μg/ml.

2 / 2
Anti-SLC35F2 antibody, N-term used in IHC (Paraffin sections) (IHC-P). GTX46812
Anti-SLC35F2 antibody, N-term used in Western Blot (WB). GTX46812
  • Host
    Rabbit
  • Clonality
    Polyclonal
  • Isotype
    IgG
  • Applications
    WB IHC-P
  • Reactivity
    Human
See all SLC35F2 products