SLC4A4 antibody [HL5250]

Cat. No. GTX645506
Cat. No.  GTX645506
Anti-SLC4A4 antibody [HL5250] used in Western Blot (WB). GTX645506
GTX645506 WB Image

Renilla knockout (KO) and SLC4A4 knockout (KO) unboiled Huh-7 cell extracts (30 μg) were separated by 5% SDS-PAGE, and the membrane was blotted with SLC4A4 antibody [HL5250] (GTX645506) diluted at 1:500. The HRP-conjugated anti-rabbit IgG antibody (GTX213110-01) was used to detect the primary antibody, and the signal was developed with Trident femto Western HRP Substrate.

1 / 5
Anti-SLC4A4 antibody [HL5250] used in IHC (Paraffin sections) (IHC-P). GTX645506
GTX645506 IHC-P Image

SLC4A4 antibody [HL5250] detects SLC4A4 protein by immunohistochemical analysis.
Sample: Paraffin-embedded human tissues.
SLC4A4 stained by SLC4A4 antibody [HL5250] (GTX645506) diluted at 1:200.
Antigen Retrieval: Tris-EDTA buffer, pH 9.0, 15 min

2 / 5
Anti-SLC4A4 antibody [HL5250] used in IHC (Paraffin sections) (IHC-P). GTX645506
GTX645506 IHC-P Image

SLC4A4 antibody [HL5250] detects SLC4A4 protein by immunohistochemical analysis.
Sample: Paraffin-embedded human tissues.
SLC4A4 stained by SLC4A4 antibody [HL5250] (GTX645506) diluted at 1:200.
Antigen Retrieval: Tris-EDTA buffer, pH 9.0, 15 min

3 / 5
Anti-SLC4A4 antibody [HL5250] used in IHC (Paraffin sections) (IHC-P). GTX645506
GTX645506 IHC-P Image

SLC4A4 antibody [HL5250] detects SLC4A4 protein by immunohistochemical analysis.
Sample: Paraffin-embedded human tissues.
SLC4A4 stained by SLC4A4 antibody [HL5250] (GTX645506) diluted at 1:200.
Antigen Retrieval: Tris-EDTA buffer, pH 9.0, 15 min

4 / 5
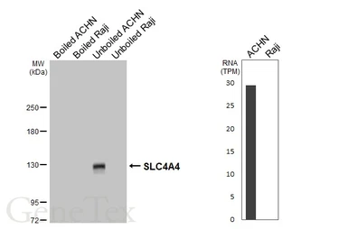
Anti-SLC4A4 antibody [HL5250] used in Western Blot (WB). GTX645506
GTX645506 WB Image

Boiled and unboiled various whole cell extracts (30 μg) were separated by 5% SDS-PAGE, and the membrane was blotted with SLC4A4 antibody [HL5250] (GTX645506) diluted at 1:1000. The HRP-conjugated anti-rabbit IgG antibody (GTX213110-01) was used to detect the primary antibody. Corresponding RNA expression data are based on Human Protein Atlas program.

5 / 5
Anti-SLC4A4 antibody [HL5250] used in Western Blot (WB). GTX645506
Anti-SLC4A4 antibody [HL5250] used in IHC (Paraffin sections) (IHC-P). GTX645506
Anti-SLC4A4 antibody [HL5250] used in IHC (Paraffin sections) (IHC-P). GTX645506
Anti-SLC4A4 antibody [HL5250] used in IHC (Paraffin sections) (IHC-P). GTX645506
Anti-SLC4A4 antibody [HL5250] used in Western Blot (WB). GTX645506
  • Host
    Rabbit
  • Clonality
    Monoclonal
  • Clone Name
    HL5250
  • Isotype
    IgG
  • Applications
    WB IHC-P
  • Reactivity
    Human
See all SLC4A4 products