SLC7A1 antibody

Cat. No. GTX66289
Cat. No.  GTX66289
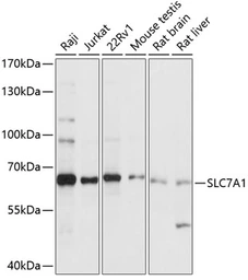
Anti-SLC7A1 antibody used in Western Blot (WB). GTX66289
GTX66289 WB Image

WB analysis of various sample lysates using GTX66289 SLC7A1 antibody.
Dilution : 1:1000
Loading : 25μg per lane

1 / 1
Anti-SLC7A1 antibody used in Western Blot (WB). GTX66289
  • Host
    Rabbit
  • Clonality
    Polyclonal
  • Isotype
    IgG
  • Applications
    WB
  • Reactivity
    Human, Mouse, Rat
See all SLC7A1 products