SLC7A8 antibody

Cat. No. GTX56211
Cat. No.  GTX56211
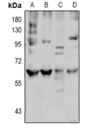
Anti-SLC7A8 antibody used in Western Blot (WB). GTX56211
GTX56211 WB Image

WB analysis of HEK293T (A), HepG2 (B), mouse kidney (C), rat brain (D) whole cell lysates using GTX56211 SLC7A8 antibody.

1 / 1
Anti-SLC7A8 antibody used in Western Blot (WB). GTX56211
  • Host
    Rabbit
  • Clonality
    Polyclonal
  • Isotype
    IgG
  • Applications
    WB
  • Reactivity
    Human, Mouse, Rat
See all SLC7A8 products