SNRPA antibody

Cat. No. GTX101664
Cat. No.  GTX101664
Anti-SNRPA antibody used in Western Blot (WB). GTX101664
GTX101664 WB Image

Various whole cell extracts (30 μg) were separated by 12% SDS-PAGE, and the membrane was blotted with SNRPA antibody (GTX101664) diluted at 1:1000. The HRP-conjugated anti-rabbit IgG antibody (GTX213110-01) was used to detect the primary antibody.

1 / 7
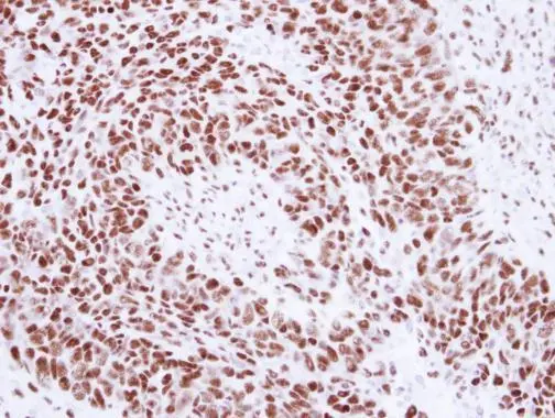
Anti-SNRPA antibody used in IHC (Paraffin sections) (IHC-P). GTX101664
GTX101664 IHC-P Image

Immunohistochemical analysis of paraffin-embedded human breast cancer, using SNRPA(GTX101664) antibody at 1:250 dilution.
Antigen Retrieval: Trilogy™ (EDTA based, pH 8.0) buffer, 15min

2 / 7
Anti-SNRPA antibody used in IHC (Paraffin sections) (IHC-P). GTX101664
GTX101664 IHC-P Image

SNRPA antibody detects SNRPA protein at nucleus on mouse colon by immunohistochemical analysis.
Sample: Paraffin-embedded mouse colon.
SNRPA antibody (GTX101664) dilution: 1:500.

Antigen Retrieval: Trilogy™ (EDTA based, pH 8.0) buffer, 15min

3 / 7
Anti-SNRPA antibody used in Immunocytochemistry/ Immunofluorescence (ICC/IF). GTX101664
GTX101664 ICC/IF Image

Confocal immunofluorescence analysis (Olympus FV10i) of paraformaldehyde-fixed HeLa, using SNRPA(GTX101664) antibody (Green) at 1:500 dilution. Alpha-tubulin filaments were labeled with GTX11304 (Red) at 1:2000.

4 / 7
Anti-SNRPA antibody used in IHC (Paraffin sections) (IHC-P). GTX101664
GTX101664 IHC-P Image

SNRPA antibody detects SNRPA protein at nucleus on mouse liver by immunohistochemical analysis.
Sample: Paraffin-embedded mouse liver.
SNRPA antibody (GTX101664) dilution: 1:500.

Antigen Retrieval: Trilogy™ (EDTA based, pH 8.0) buffer, 15min

5 / 7
Anti-SNRPA antibody used in IHC (Paraffin sections) (IHC-P). GTX101664
GTX101664 IHC-P Image

SNRPA antibody detects SNRPA protein at nucleus on rat fore brain by immunohistochemical analysis.
Sample: Paraffin-embedded rat fore brain.
SNRPA antibody (GTX101664) dilution: 1:500.

Antigen Retrieval: Trilogy™ (EDTA based, pH 8.0) buffer, 15min

6 / 7
Anti-SNRPA antibody used in IHC (Paraffin sections) (IHC-P). GTX101664
GTX101664 IHC-P Image

SNRPA antibody detects SNRPA protein at nucleus on mouse fore brain by immunohistochemical analysis.
Sample: Paraffin-embedded mouse fore brain.
SNRPA antibody (GTX101664) dilution: 1:500.

Antigen Retrieval: Trilogy™ (EDTA based, pH 8.0) buffer, 15min

7 / 7
Anti-SNRPA antibody used in Western Blot (WB). GTX101664
Anti-SNRPA antibody used in IHC (Paraffin sections) (IHC-P). GTX101664
Anti-SNRPA antibody used in IHC (Paraffin sections) (IHC-P). GTX101664
Anti-SNRPA antibody used in Immunocytochemistry/ Immunofluorescence (ICC/IF). GTX101664
Anti-SNRPA antibody used in IHC (Paraffin sections) (IHC-P). GTX101664
Anti-SNRPA antibody used in IHC (Paraffin sections) (IHC-P). GTX101664
Anti-SNRPA antibody used in IHC (Paraffin sections) (IHC-P). GTX101664
  • Host
    Rabbit
  • Clonality
    Polyclonal
  • Isotype
    IgG
  • Applications
    WB ICC/IF IHC-P
  • Reactivity
    Human, Mouse, Rat
See all SNRPA products