SNX9 antibody

Cat. No. GTX103383
Cat. No.  GTX103383
Anti-SNX9 antibody used in Western Blot (WB). GTX103383
GTX103383 WB Image

Sample (30 ug of whole cell lysate)
A: H1299
B: HCT116
7.5% SDS PAGE
GTX103383 diluted at 1:1000

1 / 2
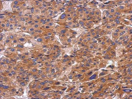
Anti-SNX9 antibody used in IHC (Paraffin sections) (IHC-P). GTX103383
GTX103383 IHC-P Image

Immunohistochemical analysis of paraffin-embedded human hepatoma, using SNX9(GTX103383) antibody at 1:500 dilution.
Antigen Retrieval: Trilogy™ (EDTA based, pH 8.0) buffer, 15min

2 / 2
Anti-SNX9 antibody used in Western Blot (WB). GTX103383
Anti-SNX9 antibody used in IHC (Paraffin sections) (IHC-P). GTX103383
  • Host
    Rabbit
  • Clonality
    Polyclonal
  • Isotype
    IgG
  • Applications
    WB IHC-P
  • Reactivity
    Human
See all SNX9 products