SOX2 antibody [GT1352]

Cat. No. GTX627405
Cat. No.  GTX627405
Anti-SOX2 antibody [GT1352] used in Western Blot (WB). GTX627405
GTX627405 WB Image

Non-transfected (–) and transfected (+) NT2D1 whole cell extracts (30 μg) were separated by 10% SDS-PAGE, and the membrane was blotted with SOX2 antibody [GT1352] (GTX627405) diluted at 1:500. The HRP-conjugated anti-mouse IgG antibody (GTX213111-01) was used to detect the primary antibody.

1 / 13
Anti-SOX2 antibody [GT1352] used in Western Blot (WB). GTX627405
GTX627405 WB Image

Whole cell extract (30 μg) was separated by 12% SDS-PAGE, and the membranes were blotted with SOX2 antibody [GT1352] (GTX627405) diluted at 1:1000 and competitor's antibody (sc-17320) diluted at 1:500. The HRP-conjugated anti-mouse IgG antibody (GTX213111-01) was used to detect the primary antibody, and the signal was developed with Trident ECL plus-Enhanced.

*The competitor is not affiliated with GeneTex and does not endorse this product.

2 / 13
Anti-SOX2 antibody [GT1352] used in IHC (Paraffin sections) (IHC-P). GTX627405
GTX627405 IHC-P Image

SOX2 antibody [GT1352] detects SOX2 protein by immunohistochemical analysis.
Sample: Paraffin-embedded mouse tissues.
SOX2 stained by SOX2 antibody [GT1352] (GTX627405) diluted at 1:200.
Antigen Retrieval: Tris-EDTA buffer, pH 9.0, 15 min

3 / 13
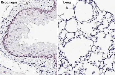
Anti-SOX2 antibody [GT1352] used in IHC (Paraffin sections) (IHC-P). GTX627405
GTX627405 IHC-P Image

SOX2 antibody [GT1352] detects SOX2 protein by immunohistochemical analysis.
Sample: Paraffin-embedded mouse tissues.
SOX2 stained by SOX2 antibody [GT1352] (GTX627405) diluted at 1:200.
Antigen Retrieval: Tris-EDTA buffer, pH 9.0, 15 min

4 / 13
Anti-SOX2 antibody [GT1352] used in IHC (Paraffin sections) (IHC-P). GTX627405
GTX627405 IHC-P Image

SOX2 antibody [GT1352] detects SOX2 protein by immunohistochemical analysis.
Sample: Paraffin-embedded mouse hippocampus.
Green: SOX2 stained by SOX2 antibody [GT1352] (GTX627405) diluted at 1:100.
Red: GFAP antibody (GTX108711) diluted at 1:1000.
Blue: Fluoroshield with DAPI (GTX30920).
Antigen Retrieval: Tris-EDTA buffer, pH 9.0, 15 min

5 / 13
Anti-SOX2 antibody [GT1352] used in Western Blot (WB). GTX627405
GTX627405 WB Image

Whole cell extract (30 μg) was separated by 12% SDS-PAGE, and the membrane was blotted with SOX2 antibody [GT1352] (GTX627405) diluted at 1:1000. The HRP-conjugated anti-mouse IgG antibody (GTX213111-01) was used to detect the primary antibody.

6 / 13
Anti-SOX2 antibody [GT1352] used in Flow cytometry (FCM). GTX627405
GTX627405 FCM Image

SOX2 antibody [GT1352] detects SOX2 protein by flow cytomertry analysis. Sample: Human embryonic stem cells Black: Isotype control dilution: 1:50 Green: SOX2 antibody [GT1352] dilution: 1:50

7 / 13
Anti-SOX2 antibody [GT1352] used in Western Blot (WB). GTX627405
GTX627405 WB Image

SOX2 antibody [GT1352] detects SOX2 protein by western blot analysis.
A. 30 μg mouse ESC whole cell lysate/extract
10% SDS-PAGE
SOX2 antibody [GT1352] (GTX627405) dilution: 1:1000
The HRP-conjugated anti-mouse IgG antibody (GTX213111-01) was used to detect the primary antibody.

8 / 13
Anti-SOX2 antibody [GT1352] used in IHC (Paraffin sections) (IHC-P). GTX627405
GTX627405 IHC-P Image

SOX2 antibody [GT1352] detects SOX2 protein at nucleus by immunohistochemical analysis.
Sample: Paraffin-embedded mouse E10.5 mouse embryo.
Green: Brachyury stained by Brachyury antibody (GTX133714) diluted at 1:250.
Red: SOX2, a nucleus marker, stained by SOX2 antibody [GT1352] (GTX627405) diluted at 1:250.
Blue: Fluoroshield with DAPI (GTX30920).

9 / 13
Anti-SOX2 antibody [GT1352] used in IHC (Frozen sections) (IHC-Fr). GTX627405
GTX627405 IHC-Fr Image

Sox2 antibodies detects Sox2 proteins on embryonic mouse brain by immunohistochemical analysis.
Sample: Frozen section of embryonic mouse brain (mE18.5).
Green: GFAP antibody (GTX108711) diluted at 1:1000.
Red: Sox2 antibody [GT1352] (GTX627405) diluted at 1:250.

10 / 13
Anti-SOX2 antibody [GT1352] used in Western Blot (WB). GTX627405
GTX627405 WB Image

SOX2 antibody [GT1352] detects SOX2 protein by western blot analysis.
A. 30 μg human ESC whole cell lysate/extract
10% SDS-PAGE
SOX2 antibody [GT1352] (GTX627405) dilution: 1:1000
The HRP-conjugated anti-mouse IgG antibody (GTX213111-01) was used to detect the primary antibody.

11 / 13
Anti-SOX2 antibody [GT1352] used in IHC (Paraffin sections) (IHC-P). GTX627405
GTX627405 IHC-P Image

SOX2 antibody [GT1352] detects SOX2 protein at nucleus on by immunohistochemical analysis.
Sample: Paraffin-embedded mouse skin.
SOX2 antibody [GT1352] (GTX627405) dilution: 1:500.

Antigen Retrieval: Trilogy™ (EDTA based, pH 8.0) buffer, 15min

12 / 13
Anti-SOX2 antibody [GT1352] used in Immunocytochemistry/ Immunofluorescence (ICC/IF). GTX627405
GTX627405 ICC/IF Image

SOX2 antibody detects SOX2 protein at nucleus by immunofluorescent analysis.
Sample: U-87 MG cells were fixed in 4% paraformaldehyde at RT for 15 min.
Red: SOX2 protein stained by SOX2 antibody (GTX627405) diluted at 1:200.
Green: beta Tubulin 3/ TUJ1 protein stained by beta Tubulin 3/ TUJ1 antibody (GTX631836) diluted at 1:200.

13 / 13
Anti-SOX2 antibody [GT1352] used in Western Blot (WB). GTX627405
Anti-SOX2 antibody [GT1352] used in Western Blot (WB). GTX627405
Anti-SOX2 antibody [GT1352] used in IHC (Paraffin sections) (IHC-P). GTX627405
Anti-SOX2 antibody [GT1352] used in IHC (Paraffin sections) (IHC-P). GTX627405
Anti-SOX2 antibody [GT1352] used in IHC (Paraffin sections) (IHC-P). GTX627405
Anti-SOX2 antibody [GT1352] used in Western Blot (WB). GTX627405
Anti-SOX2 antibody [GT1352] used in Flow cytometry (FCM). GTX627405
Anti-SOX2 antibody [GT1352] used in Western Blot (WB). GTX627405
Anti-SOX2 antibody [GT1352] used in IHC (Paraffin sections) (IHC-P). GTX627405
Anti-SOX2 antibody [GT1352] used in IHC (Frozen sections) (IHC-Fr). GTX627405
Anti-SOX2 antibody [GT1352] used in Western Blot (WB). GTX627405
Anti-SOX2 antibody [GT1352] used in IHC (Paraffin sections) (IHC-P). GTX627405
Anti-SOX2 antibody [GT1352] used in Immunocytochemistry/ Immunofluorescence (ICC/IF). GTX627405
  • Host
    Mouse
  • Clonality
    Monoclonal
  • Clone Name
    GT1352
  • Isotype
    IgG2a
  • Applications
    WB ICC/IF IHC-P IHC-Fr FCM
  • Reactivity
    Human, Mouse
See all SOX2 products