SOX2 antibody [HMV338] HistoMAX™

Cat. No. GTX640918
Cat. No.  GTX640918
Anti-SOX2 antibody [HMV338] HistoMAX™ used in IHC (Paraffin sections) (IHC-P). GTX640918
GTX640918 IHC-P Image

IHC-P analysis of human sinus paranasales tissue using GTX640918 SOX2 antibody [HMV338] HistoMAX™.
Strong SOX2 positivity of respiratory epithelial cells.

1 / 3
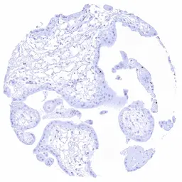
Anti-SOX2 antibody [HMV338] HistoMAX™ used in IHC (Paraffin sections) (IHC-P). GTX640918
GTX640918 IHC-P Image

IHC-P analysis of human placenta (early) tissue using GTX640918 SOX2 antibody [HMV338] HistoMAX™.

2 / 3
Anti-SOX2 antibody [HMV338] HistoMAX™ used in IHC (Paraffin sections) (IHC-P). GTX640918
GTX640918 IHC-P Image

IHC-P analysis of human esophagus tissue using GTX640918 SOX2 antibody [HMV338] HistoMAX™.
Weak to strong SOX2 positivity of squamous epithelial cells, especially in the bottom 2-3.

3 / 3
Anti-SOX2 antibody [HMV338] HistoMAX™ used in IHC (Paraffin sections) (IHC-P). GTX640918
Anti-SOX2 antibody [HMV338] HistoMAX™ used in IHC (Paraffin sections) (IHC-P). GTX640918
Anti-SOX2 antibody [HMV338] HistoMAX™ used in IHC (Paraffin sections) (IHC-P). GTX640918
  • Host
    Mouse
  • Clonality
    Monoclonal
  • Clone Name
    HMV338
  • Isotype
    IgG2a
  • Applications
    IHC-P
  • Reactivity
    Human
Summary
See all SOX2 products