SPAG8 antibody

Cat. No. GTX119963
Cat. No.  GTX119963
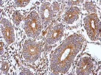
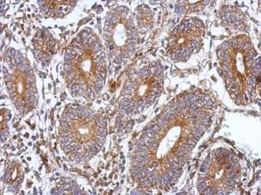
Anti-SPAG8 antibody used in IHC (Paraffin sections) (IHC-P). GTX119963
GTX119963 IHC-P Image

Immunohistochemical analysis of paraffin-embedded human colon carcinoma, using SPAG8(GTX119963) antibody at 1:500 dilution.
Antigen Retrieval: Trilogy™ (EDTA based, pH 8.0) buffer, 15min

1 / 2
Anti-SPAG8 antibody used in Western Blot (WB). GTX119963
GTX119963 WB Image

Sample (30 ug of whole cell lysate)
A: U87-MG
10% SDS PAGE
GTX119963 diluted at 1:1000

2 / 2
Anti-SPAG8 antibody used in IHC (Paraffin sections) (IHC-P). GTX119963
Anti-SPAG8 antibody used in Western Blot (WB). GTX119963
  • Host
    Rabbit
  • Clonality
    Polyclonal
  • Isotype
    IgG
  • Applications
    WB IHC-P
  • Reactivity
    Human
See all SPAG8 products