SR-BI antibody

Cat. No. GTX20396
Cat. No.  GTX20396
Anti-SR-BI antibody used in IHC (Paraffin sections) (IHC-P). GTX20396
GTX20396 IHC-P Image

IHC-P analysis of mouse liver tissue using GTX20396 SR-BI antibody.
Dilution : 1:300

1 / 9
Anti-SR-BI antibody used in Immunocytochemistry/ Immunofluorescence (ICC/IF). GTX20396
GTX20396 ICC/IF Image

ICC/IF analysis of human fibroblasts using GTX20396 SR-BI antibody.
Green : primary antibody
Blue : DAPI
Dilution : 1:100
Fixation : 4% PFA
Permeabilization : 0.2% Tween

2 / 9
Anti-SR-BI antibody used in Western Blot (WB). GTX20396
GTX20396 WB Image

WB analysis of mouse liver tissue lysate using GTX20396 SR-BI antibody.
Loading : 25μg
Dilution : 1:1000

3 / 9
Anti-SR-BI antibody used in Western Blot (WB). GTX20396
GTX20396 WB Image

WB analysis of human adrenal tissue using GTX20396 SR-BI antibody.

4 / 9
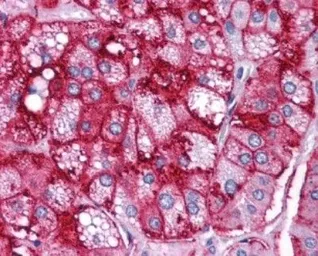
Anti-SR-BI antibody used in IHC (Paraffin sections) (IHC-P). GTX20396
GTX20396 IHC-P Image

IHC-P analysis of human adrenal cortex tissue using GTX20396 SR-BI antibody.

5 / 9
Anti-SR-BI antibody used in Western Blot (WB). GTX20396
GTX20396 WB Image

WB analysis of HeLa cell lysate using GTX20396 SR-BI antibody.

6 / 9
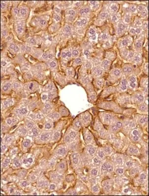
Anti-SR-BI antibody used in IHC (Paraffin sections) (IHC-P). GTX20396
GTX20396 IHC-P Image

IHC-P analysis of mouse liver tissue using GTX20396 SR-BI antibody.
Dilution : 1:300

7 / 9
Anti-SR-BI antibody used in Immunocytochemistry/ Immunofluorescence (ICC/IF). GTX20396
GTX20396 ICC/IF Image

ICC/IF analysis of HeLa cells using GTX20396 SR-BI antibody.
Green : primary antibody
Red : Tubulin
Blue : DAPI
Dilution : 2 μg/ml

8 / 9
Anti-SR-BI antibody used in Flow cytometry (FCM). GTX20396
GTX20396 FCM Image

FACS (Intracellular staining) analysis of HeLa cells using GTX20396 SR-BI antibody.
Blue : Primary antibody
Orange : isotype control
Dilution : 2 μg/mL
Fixation : 4% PFA
Permibilization : 0.1% saponin

9 / 9
Anti-SR-BI antibody used in IHC (Paraffin sections) (IHC-P). GTX20396
Anti-SR-BI antibody used in Immunocytochemistry/ Immunofluorescence (ICC/IF). GTX20396
Anti-SR-BI antibody used in Western Blot (WB). GTX20396
Anti-SR-BI antibody used in Western Blot (WB). GTX20396
Anti-SR-BI antibody used in IHC (Paraffin sections) (IHC-P). GTX20396
Anti-SR-BI antibody used in Western Blot (WB). GTX20396
Anti-SR-BI antibody used in IHC (Paraffin sections) (IHC-P). GTX20396
Anti-SR-BI antibody used in Immunocytochemistry/ Immunofluorescence (ICC/IF). GTX20396
Anti-SR-BI antibody used in Flow cytometry (FCM). GTX20396
  • Host
    Rabbit
  • Clonality
    Polyclonal
  • Isotype
    IgG
  • Applications
    WB ICC/IF IHC-P IHC-Fr FCM IP
  • Reactivity
    Human, Mouse, Rat, Rabbit, Hamster, Golden Syrian Hamster, Mustelid, Primate
See all SR-BI products