ST2 antibody [HL5099]

Cat. No. GTX645293
Cat. No.  GTX645293
Anti-ST2 antibody [HL5099] used in Western Blot (WB). GTX645293
GTX645293 WB Image

Non-transfected (–) and transfected (+) unboiled 293T whole cell extracts (30 μg) were separated by 10% SDS-PAGE, and the membrane was blotted with ST2 antibody [HL5099] (GTX645293) diluted at 1:5000. The HRP-conjugated anti-rabbit IgG antibody (GTX213110-01) was used to detect the primary antibody, and the signal was developed with Trident femto Western HRP Substrate.

1 / 3
Anti-ST2 antibody [HL5099] used in Western Blot (WB). GTX645293
GTX645293 WB Image

HUVEC whole cell extract and conditioned medium (30 μg) were separated by 10% SDS-PAGE, and the membrane was blotted with ST2 antibody [HL5099] (GTX645293) diluted at 1:1000. The HRP-conjugated anti-rabbit IgG antibody (GTX213110-01) was used to detect the primary antibody, and the signal was developed with Trident femto Western HRP Substrate.

2 / 3
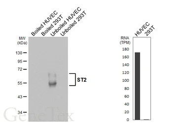
Anti-ST2 antibody [HL5099] used in Western Blot (WB). GTX645293
GTX645293 WB Image

Boiled and unboiled various whole cell extracts (30 μg) were separated by 10% SDS-PAGE, and the membrane was blotted with ST2 antibody [HL5099] (GTX645293) diluted at 1:1000. The HRP-conjugated anti-rabbit IgG antibody (GTX213110-01) was used to detect the primary antibody. Corresponding RNA expression data are based on Human Protein Atlas program.

3 / 3
Anti-ST2 antibody [HL5099] used in Western Blot (WB). GTX645293
Anti-ST2 antibody [HL5099] used in Western Blot (WB). GTX645293
Anti-ST2 antibody [HL5099] used in Western Blot (WB). GTX645293
  • Host
    Rabbit
  • Clonality
    Monoclonal
  • Clone Name
    HL5099
  • Isotype
    IgG
  • Applications
    WB
  • Reactivity
    Human
See all ST2 products