STAT1 (phospho Tyr701) antibody

Cat. No. GTX50118
Cat. No.  GTX50118
Anti-STAT1 (phospho Tyr701) antibody used in Western Blot (WB). GTX50118
GTX50118 WB Image

WB analysis of extracts from MEF cells untreated or treated with interferon-ɤ (IFNɤ) using GTX50118 STAT1 (phospho Tyr701) antibody.

1 / 5
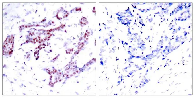
Anti-STAT1 (phospho Tyr701) antibody used in IHC (Paraffin sections) (IHC-P). GTX50118
GTX50118 IHC-P Image

IHC-P analysis of human breast carcinoma tissue using GTX50118 STAT1 (phospho Tyr701) antibody.
Left : Primary antibody
Right : Primary antibody pre-incubated with the antigen specific peptide

2 / 5
Anti-STAT1 (phospho Tyr701) antibody used in Western Blot (WB). GTX50118
GTX50118 WB Image

WB analysis of extracts from HeLa cells treated with IFNa or calf intestinal phosphatase (CIP) using GTX50118 STAT1 (phospho Tyr701) antibody.

3 / 5
Anti-STAT1 (phospho Tyr701) antibody used in Western Blot (WB). GTX50118
GTX50118 WB Image

The data was published in the journal PLoS One in 2015. PMID: 25646764

4 / 5
Anti-STAT1 (phospho Tyr701) antibody used in Western Blot (WB). GTX50118
GTX50118 WB Image

The data was published in the journal PLoS One in 2015. PMID: 25646764

5 / 5
Anti-STAT1 (phospho Tyr701) antibody used in Western Blot (WB). GTX50118
Anti-STAT1 (phospho Tyr701) antibody used in IHC (Paraffin sections) (IHC-P). GTX50118
Anti-STAT1 (phospho Tyr701) antibody used in Western Blot (WB). GTX50118
Anti-STAT1 (phospho Tyr701) antibody used in Western Blot (WB). GTX50118
Anti-STAT1 (phospho Tyr701) antibody used in Western Blot (WB). GTX50118
  • Host
    Rabbit
  • Clonality
    Polyclonal
  • Isotype
    IgG
  • Applications
    WB IHC-P
  • Reactivity
    Human, Mouse
See all STAT1 products