STAT3 (phospho Tyr705) antibody

Cat. No. GTX50119
Cat. No.  GTX50119
Anti-STAT3 (phospho Tyr705) antibody used in IHC (Paraffin sections) (IHC-P). GTX50119
GTX50119 IHC-P Image

IHC-P analysis of human lung carcinoma tissue using GTX50119 STAT3 (phospho Tyr705) antibody.

1 / 4
Anti-STAT3 (phospho Tyr705) antibody used in Western Blot (WB). GTX50119
GTX50119 WB Image

WB analysis of extracts from HeLa cells untreated or treated with IFN a using GTX50119 STAT3 (phospho Tyr705) antibody.

2 / 4
Anti-STAT3 (phospho Tyr705) antibody used in Immunocytochemistry/ Immunofluorescence (ICC/IF). GTX50119
GTX50119 ICC/IF Image

ICC/IF analysis of methanol-fixed MEF cells untreated or treated with IFN using GTX50119 STAT3 (phospho Tyr705) antibody.

3 / 4
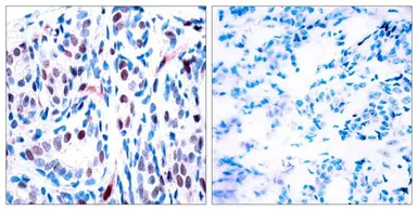
Anti-STAT3 (phospho Tyr705) antibody used in IHC (Paraffin sections) (IHC-P). GTX50119
GTX50119 IHC-P Image

IHC-P analysis of human breast carcinoma tissue using GTX50119 STAT3 (phospho Tyr705) antibody.
Left : Primary antibody
Right : Primary antibody pre-incubated with the antigen specific peptide

4 / 4
Anti-STAT3 (phospho Tyr705) antibody used in IHC (Paraffin sections) (IHC-P). GTX50119
Anti-STAT3 (phospho Tyr705) antibody used in Western Blot (WB). GTX50119
Anti-STAT3 (phospho Tyr705) antibody used in Immunocytochemistry/ Immunofluorescence (ICC/IF). GTX50119
Anti-STAT3 (phospho Tyr705) antibody used in IHC (Paraffin sections) (IHC-P). GTX50119
  • Host
    Rabbit
  • Clonality
    Polyclonal
  • Isotype
    IgG
  • Applications
    WB ICC/IF IHC-P
  • Reactivity
    Human, Mouse
See all STAT3 products