STAT3 (phospho Tyr705) antibody

Cat. No. GTX86741
Cat. No.  GTX86741
Anti-STAT3 (phospho Tyr705) antibody used in Western Blot (WB). GTX86741
GTX86741 WB Image

WB analysis of HeLa cell lysates using GTX86741 STAT3 (phospho Tyr705) antibody. The lane on the right is blocked with the synthesized peptide.

1 / 2
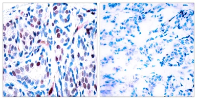
Anti-STAT3 (phospho Tyr705) antibody used in IHC (Paraffin sections) (IHC-P). GTX86741
GTX86741 IHC-P Image

IHC-P analysis of human breast carcinoma tissue using GTX86741 STAT3 (phospho Tyr705) antibody. The picture on the right is blocked with the synthesized peptide.

2 / 2
Anti-STAT3 (phospho Tyr705) antibody used in Western Blot (WB). GTX86741
Anti-STAT3 (phospho Tyr705) antibody used in IHC (Paraffin sections) (IHC-P). GTX86741
  • Host
    Rabbit
  • Clonality
    Polyclonal
  • Isotype
    IgG
  • Applications
    WB IHC-P
  • Reactivity
    Human
See all STAT3 products