STAT4 (phospho Tyr693) antibody

Cat. No. GTX78939
Cat. No.  GTX78939
Anti-STAT4 (phospho Tyr693) antibody used in Western Blot (WB). GTX78939
GTX78939 WB Image

WB analysis of IL-4 treated HeLa cell lysate using GTX78939 STAT4 (phospho Tyr693) antibody.

1 / 2
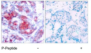
Anti-STAT4 (phospho Tyr693) antibody used in IHC (Paraffin sections) (IHC-P). GTX78939
GTX78939 IHC-P Image

IHC-P analysis of human breast carcinoma tissue using GTX78939 STAT4 (phospho Tyr693) antibody.

2 / 2
Anti-STAT4 (phospho Tyr693) antibody used in Western Blot (WB). GTX78939
Anti-STAT4 (phospho Tyr693) antibody used in IHC (Paraffin sections) (IHC-P). GTX78939
  • Host
    Rabbit
  • Clonality
    Polyclonal
  • Isotype
    IgG
  • Applications
    WB IHC-P
  • Reactivity
    Human
See all STAT4 products