STAT5B antibody [SD08-08]

Cat. No. GTX01153
Cat. No.  GTX01153
Anti-STAT5B antibody [SD08-08] used in Western Blot (WB). GTX01153
GTX01153 WB Image

Various whole cell extracts (30 μg) were separated by 7.5% SDS-PAGE, and the membrane was blotted with STAT5B antibody [SD08-08] (GTX01153) diluted at 1:1000. The HRP-conjugated anti-rabbit IgG antibody (GTX213110-01) was used to detect the primary antibody.

1 / 7
Anti-STAT5B antibody [SD08-08] used in Western Blot (WB). GTX01153
GTX01153 WB Image

Various whole cell extracts (30 μg) were separated by 7.5% SDS-PAGE, and the membrane was blotted with STAT5B antibody [SD08-08] (GTX01153) diluted at 1:1000. The HRP-conjugated anti-rabbit IgG antibody (GTX213110-01) was used to detect the primary antibody.

2 / 7
Anti-STAT5B antibody [SD08-08] used in Western Blot (WB). GTX01153
GTX01153 WB Image

Various whole cell extracts (30 μg) were separated by 7.5% SDS-PAGE, and the membrane was blotted with STAT5B antibody [SD08-08] (GTX01153) diluted at 1:500. The HRP-conjugated anti-rabbit IgG antibody (GTX213110-01) was used to detect the primary antibody.

3 / 7
Anti-STAT5B antibody [SD08-08] used in IHC (Paraffin sections) (IHC-P). GTX01153
GTX01153 IHC-P Image

IHC-P analysis of human breast carcinoma tissue section using GTX01153 STAT5B antibody [SD08-08].

4 / 7
Anti-STAT5B antibody [SD08-08] used in IHC (Paraffin sections) (IHC-P). GTX01153
GTX01153 IHC-P Image

IHC-P analysis of human spleen tissue section using GTX01153 STAT5B antibody [SD08-08].

5 / 7
Anti-STAT5B antibody [SD08-08] used in IHC (Paraffin sections) (IHC-P). GTX01153
GTX01153 IHC-P Image

IHC-P analysis of mouse colon tissue section using GTX01153 STAT5B antibody [SD08-08].

6 / 7
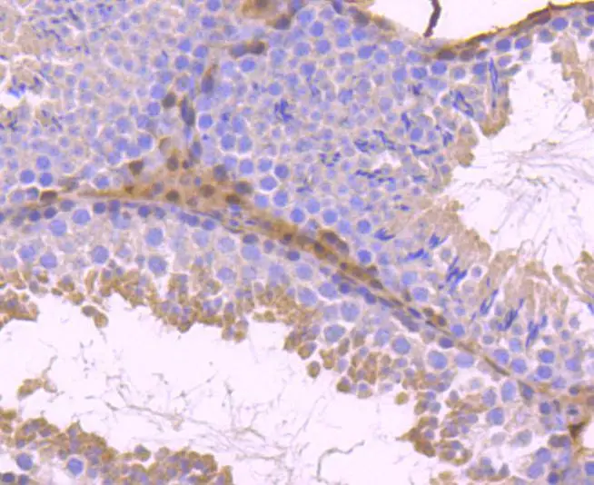
Anti-STAT5B antibody [SD08-08] used in IHC (Paraffin sections) (IHC-P). GTX01153
GTX01153 IHC-P Image

IHC-P analysis of mouse testis tissue section using GTX01153 STAT5B antibody [SD08-08].

7 / 7
Anti-STAT5B antibody [SD08-08] used in Western Blot (WB). GTX01153
Anti-STAT5B antibody [SD08-08] used in Western Blot (WB). GTX01153
Anti-STAT5B antibody [SD08-08] used in Western Blot (WB). GTX01153
Anti-STAT5B antibody [SD08-08] used in IHC (Paraffin sections) (IHC-P). GTX01153
Anti-STAT5B antibody [SD08-08] used in IHC (Paraffin sections) (IHC-P). GTX01153
Anti-STAT5B antibody [SD08-08] used in IHC (Paraffin sections) (IHC-P). GTX01153
Anti-STAT5B antibody [SD08-08] used in IHC (Paraffin sections) (IHC-P). GTX01153
  • Host
    Rabbit
  • Clonality
    Monoclonal
  • Clone Name
    SD08-08
  • Isotype
    IgG
  • Applications
    WB IHC-P
  • Reactivity
    Human, Mouse, Rat
See all STAT5B products