STING antibody [MSVA-515M] HistoMAX™

Cat. No. GTX04484
Cat. No.  GTX04484
Anti-STING antibody [MSVA-515M] HistoMAX™ used in IHC (Paraffin sections) (IHC-P). GTX04484
GTX04484 IHC-P Image

IHC-P analysis of human mucosa from appendix tissue using GTX04484 STING antibody [MSVA-515M] HistoMAX™.
STING staining of inflammatory cells predominates in the interfollicular zone STING immunohistochemistry.

1 / 3
Anti-STING antibody [MSVA-515M] HistoMAX™ used in IHC (Paraffin sections) (IHC-P). GTX04484
GTX04484 IHC-P Image

IHC-P analysis of human adrenal gland tissue using GTX04484 STING antibody [MSVA-515M] HistoMAX™.
STING staining of endothelial cells and of macrophages STING immunohistochemistry.

2 / 3
Anti-STING antibody [MSVA-515M] HistoMAX™ used in IHC (Paraffin sections) (IHC-P). GTX04484
GTX04484 IHC-P Image

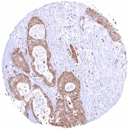
IHC-P analysis of human pancreatic ductal adenocarcinoma (PDAC) tissue using GTX04484 STING antibody [MSVA-515M] HistoMAX™.
Ductal adenocarcinoma with strong STING positivity of all tumor cells.

3 / 3
Anti-STING antibody [MSVA-515M] HistoMAX™ used in IHC (Paraffin sections) (IHC-P). GTX04484
Anti-STING antibody [MSVA-515M] HistoMAX™ used in IHC (Paraffin sections) (IHC-P). GTX04484
Anti-STING antibody [MSVA-515M] HistoMAX™ used in IHC (Paraffin sections) (IHC-P). GTX04484
  • Host
    Mouse
  • Clonality
    Monoclonal
  • Clone Name
    MSVA-515M
  • Isotype
    IgG2c
  • Applications
    IHC-P
  • Reactivity
    Human
Summary
This antibody was validated on 76 different Normal Tissues by IHC-P.

Go to Normal Tissue GalleryGo to Cancer Tissue Gallery

See all MPYS products