SUCLG1 antibody

Cat. No. GTX109215
Cat. No.  GTX109215
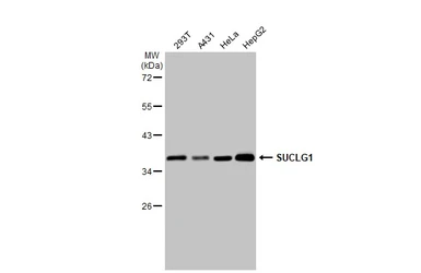
Anti-SUCLG1 antibody used in Western Blot (WB). GTX109215
GTX109215 WB Image

Various whole cell extracts (30 μg) were separated by 10% SDS-PAGE, and the membrane was blotted with SUCLG1 antibody (GTX109215) diluted at 1:1000. The HRP-conjugated anti-rabbit IgG antibody (GTX213110-01) was used to detect the primary antibody.

1 / 6
Anti-SUCLG1 antibody used in Western Blot (WB). GTX109215
GTX109215 WB Image

Sample (20 μg of whole cell lysate)
A: mouse brain
10% SDS PAGE
GTX109215 diluted at 1:10000
The HRP-conjugated anti-rabbit IgG antibody (GTX213110-01) was used to detect the primary antibody.

2 / 6
Anti-SUCLG1 antibody used in Immunocytochemistry/ Immunofluorescence (ICC/IF). GTX109215
GTX109215 ICC/IF Image

SUCLG1 antibody detects SUCLG1 protein at mitochondria by confocal immunofluorescent analysis.
Sample: HeLa cells were fixed in 2% paraformaldehyde/culture medium at 37ºC for 30 min.
Green: SUCLG1 protein stained by SUCLG1 antibody (GTX109215) diluted at 1:500.
Blue: Hoechst 33342 staining.
[Images captured by Olympus FV10i Confocal Laser Scanning Microscope]

3 / 6
Anti-SUCLG1 antibody used in IHC (Paraffin sections) (IHC-P). GTX109215
GTX109215 IHC-P Image

Immunohistochemical analysis of paraffin-embedded N87 xenograft, using SUCLG1(GTX109215) antibody at 1:100 dilution.
Antigen Retrieval: Trilogy™ (EDTA based, pH 8.0) buffer, 15min

4 / 6
Anti-SUCLG1 antibody used in Western Blot (WB). GTX109215
GTX109215 WB Image

SUCLG1 antibody detects SUCLG1 protein by western blot analysis.
A.50 μg rat brain lysate/extract
10% SDS-PAGE
SUCLG1 antibody (GTX109215) dilution: 1:3000
The HRP-conjugated anti-rabbit IgG antibody (GTX213110-01) was used to detect the primary antibody.

5 / 6
Anti-SUCLG1 antibody used in Western Blot (WB). GTX109215
GTX109215 WB Image

The data was published in the journal Dis Model Mech in 2014. PMID: 24271779

6 / 6
Anti-SUCLG1 antibody used in Western Blot (WB). GTX109215
Anti-SUCLG1 antibody used in Western Blot (WB). GTX109215
Anti-SUCLG1 antibody used in Immunocytochemistry/ Immunofluorescence (ICC/IF). GTX109215
Anti-SUCLG1 antibody used in IHC (Paraffin sections) (IHC-P). GTX109215
Anti-SUCLG1 antibody used in Western Blot (WB). GTX109215
Anti-SUCLG1 antibody used in Western Blot (WB). GTX109215
  • Host
    Rabbit
  • Clonality
    Polyclonal
  • Isotype
    IgG
  • Applications
    WB ICC/IF IHC-P IP
  • Reactivity
    Human, Mouse, Rat
See all SUCLG1 products