SUMO4 antibody

Cat. No. GTX54685
Cat. No.  GTX54685
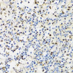
Anti-SUMO4 antibody used in IHC (Paraffin sections) (IHC-P). GTX54685
GTX54685 IHC-P Image

IHC-P analysis of human breast cancer tissue using GTX54685 SUMO4 antibody.
Dilution : 1:100

1 / 4
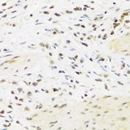
Anti-SUMO4 antibody used in IHC (Paraffin sections) (IHC-P). GTX54685
GTX54685 IHC-P Image

IHC-P analysis of human kidney cancer tissue using GTX54685 SUMO4 antibody.
Dilution : 1:100

2 / 4
Anti-SUMO4 antibody used in Western Blot (WB). GTX54685
GTX54685 WB Image

WB analysis of various sample lysates using GTX54685 SUMO4 antibody.
Dilution : 1:800
Loading : 25μg per lane

3 / 4
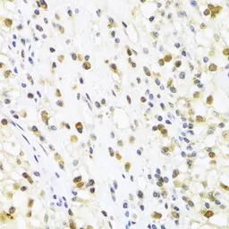
Anti-SUMO4 antibody used in IHC (Paraffin sections) (IHC-P). GTX54685
GTX54685 IHC-P Image

IHC-P analysis of human appendicitis tissue using GTX54685 SUMO4 antibody.
Dilution : 1:100

4 / 4
Anti-SUMO4 antibody used in IHC (Paraffin sections) (IHC-P). GTX54685
Anti-SUMO4 antibody used in IHC (Paraffin sections) (IHC-P). GTX54685
Anti-SUMO4 antibody used in Western Blot (WB). GTX54685
Anti-SUMO4 antibody used in IHC (Paraffin sections) (IHC-P). GTX54685
  • Host
    Rabbit
  • Clonality
    Polyclonal
  • Isotype
    IgG
  • Applications
    WB IHC-P
  • Reactivity
    Human
See all SUMO4 products