SURF6 antibody, Internal

Cat. No. GTX47336
Cat. No.  GTX47336
Anti-SURF6 antibody, Internal used in Western Blot (WB). GTX47336
GTX47336 WB Image

WB analysis of Jurkat cells using GTX47336 SURF6 antibody at 2.5μg/ml.
Lane A : marker
Lane B : Jurkat cells

1 / 3
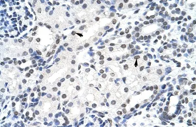
Anti-SURF6 antibody, Internal used in IHC (Paraffin sections) (IHC-P). GTX47336
GTX47336 IHC-P Image

IHC-P analysis of human kidney tissue using GTX47336 SURF6 antibody at 4.0-8.0μg/ml.

2 / 3
Anti-SURF6 antibody, Internal used in IHC (Paraffin sections) (IHC-P). GTX47336
GTX47336 IHC-P Image

IHC-P analysis of human heart tissue using GTX47336 SURF6 antibody at 4.0-8.0μg/ml.

3 / 3
Anti-SURF6 antibody, Internal used in Western Blot (WB). GTX47336
Anti-SURF6 antibody, Internal used in IHC (Paraffin sections) (IHC-P). GTX47336
Anti-SURF6 antibody, Internal used in IHC (Paraffin sections) (IHC-P). GTX47336
  • Host
    Rabbit
  • Clonality
    Polyclonal
  • Isotype
    IgG
  • Applications
    WB IHC-P
  • Reactivity
    Human
See all SURF6 products