SUV39H2 antibody

Cat. No. GTX54682
Cat. No.  GTX54682
Anti-SUV39H2 antibody used in ChIP assay (ChIP assay). GTX54682
GTX54682 ChIP assay Image

ChIP analysis of 293T cell lysate using GTX54682 SUV39H2 antibody. The amount of immunoprecipitated DNA was checked by quantitative PCR. Histogram was constructed by the ratios of the immunoprecipitated DNA to the input.

1 / 2
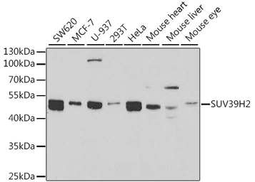
Anti-SUV39H2 antibody used in Western Blot (WB). GTX54682
GTX54682 WB Image

WB analysis of various sample lysates using GTX54682 SUV39H2 antibody.
Dilution : 1:1000
Loading : 25μg per lane

2 / 2
Anti-SUV39H2 antibody used in ChIP assay (ChIP assay). GTX54682
Anti-SUV39H2 antibody used in Western Blot (WB). GTX54682
  • Host
    Rabbit
  • Clonality
    Polyclonal
  • Isotype
    IgG
  • Applications
    WB ChIP assay
  • Reactivity
    Human, Mouse
See all SUV39H2 products