Selenophosphate synthetase 1 antibody [N1C1-2]

Cat. No. GTX107611
Cat. No.  GTX107611
Anti-Selenophosphate synthetase 1 antibody [N1C1-2] used in Immunocytochemistry/ Immunofluorescence (ICC/IF). GTX107611
GTX107611 ICC/IF Image

Immunofluorescence analysis of paraformaldehyde-fixed HeLa, using Selenophosphate synthetase 1(GTX107611) antibody at 1:200 dilution.

1 / 5
Anti-Selenophosphate synthetase 1 antibody [N1C1-2] used in IHC (Paraffin sections) (IHC-P). GTX107611
GTX107611 IHC-P Image

Selenophosphate synthetase 1 antibody [N1C1-2] detects Selenophosphate synthetase 1 protein at cytoplasm and nucleus on mouse brain by immunohistochemical analysis.
Sample: Paraffin-embedded mouse brain.
Selenophosphate synthetase 1 antibody [N1C1-2] (GTX107611) diluted at 1:500.

Antigen Retrieval: Trilogy™ (EDTA based, pH 8.0) buffer, 15min

2 / 5
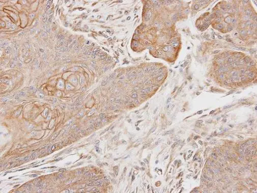
Anti-Selenophosphate synthetase 1 antibody [N1C1-2] used in IHC (Paraffin sections) (IHC-P). GTX107611
GTX107611 IHC-P Image

Immunohistochemical analysis of paraffin-embedded Cal27 xenograft, using Selenophosphate synthetase 1(GTX107611) antibody at 1:100 dilution.
Antigen Retrieval: Trilogy™ (EDTA based, pH 8.0) buffer, 15min

3 / 5
Anti-Selenophosphate synthetase 1 antibody [N1C1-2] used in Western Blot (WB). GTX107611
GTX107611 WB Image

Sample (30 ug of whole cell lysate)
A: Hep G2 (GTX27900)
12% SDS PAGE
GTX107611 diluted at 1:500

4 / 5
Anti-Selenophosphate synthetase 1 antibody [N1C1-2] used in IHC (Paraffin sections) (IHC-P). GTX107611
GTX107611 IHC-P Image

Selenophosphate synthetase 1 antibody [N1C1-2] detects Selenophosphate synthetase 1 protein at cytoplasm and nucleus on mouse ovary by immunohistochemical analysis.
Sample: Paraffin-embedded mouse ovary.
Selenophosphate synthetase 1 antibody [N1C1-2] (GTX107611) diluted at 1:500.

Antigen Retrieval: Trilogy™ (EDTA based, pH 8.0) buffer, 15min

5 / 5
Anti-Selenophosphate synthetase 1 antibody [N1C1-2] used in Immunocytochemistry/ Immunofluorescence (ICC/IF). GTX107611
Anti-Selenophosphate synthetase 1 antibody [N1C1-2] used in IHC (Paraffin sections) (IHC-P). GTX107611
Anti-Selenophosphate synthetase 1 antibody [N1C1-2] used in IHC (Paraffin sections) (IHC-P). GTX107611
Anti-Selenophosphate synthetase 1 antibody [N1C1-2] used in Western Blot (WB). GTX107611
Anti-Selenophosphate synthetase 1 antibody [N1C1-2] used in IHC (Paraffin sections) (IHC-P). GTX107611
  • Host
    Rabbit
  • Clonality
    Polyclonal
  • Isotype
    IgG
  • Applications
    WB ICC/IF IHC-P
  • Reactivity
    Human, Mouse
See all Selenophosphate synthetase 1 products