Semaphorin 3A antibody

Cat. No. GTX37550
Cat. No.  GTX37550
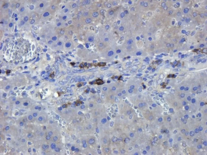
Anti-Semaphorin 3A antibody used in IHC (Paraffin sections) (IHC-P). GTX37550
GTX37550 IHC-P Image

IHC-P analysis of rat liver tissue using GTX37550 Semaphorin 3A antibody.
Dilution : 1:200

1 / 5
Anti-Semaphorin 3A antibody used in IHC (Frozen sections) (IHC-Fr). GTX37550
GTX37550 IHC-Fr Image

IHC-Fr analysis of mouse lung tissue using GTX37550 Semaphorin 3A antibody.
Dilution : 1:200

2 / 5
Anti-Semaphorin 3A antibody used in IHC (Paraffin sections) (IHC-P). GTX37550
GTX37550 IHC-P Image

IHC-P analysis of human breast cancer tissue using GTX37550 Semaphorin 3A antibody.
Dilution : 2.5μg/ml

3 / 5
Anti-Semaphorin 3A antibody used in Western Blot (WB). GTX37550
GTX37550 WB Image

WB analysis of rat lung (Lane 1), rat brain (Lane 2), mouse brain (Lane 3),rat kidney (Lane 4), rat skin (Lane 5), human breast cancer (Lane 6) tissue lysates using GTX37550 Semaphorin 3A antibody.
Dilution : 0.5μg/ml

4 / 5
Anti-Semaphorin 3A antibody used in IHC (Paraffin sections) (IHC-P). GTX37550
GTX37550 IHC-P Image

IHC-P analysis of rat liver tissue using GTX37550 Semaphorin 3A antibody.
Dilution : 1:100

5 / 5
Anti-Semaphorin 3A antibody used in IHC (Paraffin sections) (IHC-P). GTX37550
Anti-Semaphorin 3A antibody used in IHC (Frozen sections) (IHC-Fr). GTX37550
Anti-Semaphorin 3A antibody used in IHC (Paraffin sections) (IHC-P). GTX37550
Anti-Semaphorin 3A antibody used in Western Blot (WB). GTX37550
Anti-Semaphorin 3A antibody used in IHC (Paraffin sections) (IHC-P). GTX37550
  • Host
    Rabbit
  • Clonality
    Polyclonal
  • Isotype
    IgG
  • Applications
    WB IHC-P IHC-Fr
  • Reactivity
    Human, Mouse, Rat
See all Semaphorin 3A products