Serine racemase antibody [7E8]

Cat. No. GTX83568
Cat. No.  GTX83568
Anti-Serine racemase antibody [7E8] used in Western Blot (WB). GTX83568
GTX83568 WB Image

WB analysis of HEK293T cells transfected with Serine racemase plasmid (Right) or empty vector (Left) for 48 hrs using GTX83568 Serine racemase antibody [7E8].
Loading : 5 ug per lane

1 / 6
Anti-Serine racemase antibody [7E8] used in Immunocytochemistry/ Immunofluorescence (ICC/IF). GTX83568
GTX83568 ICC/IF Image

ICC/IF analysis of COS7 cells transiently transfected with Serine racemase plasmid using GTX83568 Serine racemase antibody [7E8].

2 / 6
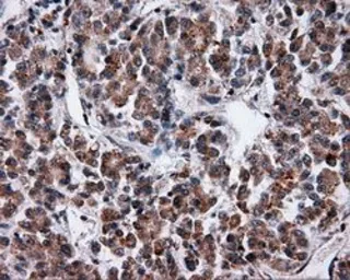
Anti-Serine racemase antibody [7E8] used in IHC (Paraffin sections) (IHC-P). GTX83568
GTX83568 IHC-P Image

IHC-P analysis of liver carcinoma tissue using GTX83568 Serine racemase antibody [7E8].
Antigen retrieval : Heat-induced epitope retrieval by 10mM citrate buffer, pH6.0, 100ºC for 10min.
Dilution : 1:50

3 / 6
Anti-Serine racemase antibody [7E8] used in Flow cytometry (FCM). GTX83568
GTX83568 FCM Image

FACS analysis of HEK293T cells transfected with either Serine racemase plasmid(Red) or empty vector control plasmid(Blue) using GTX83568 Serine racemase antibody [7E8].

4 / 6
Anti-Serine racemase antibody [7E8] used in Western Blot (WB). GTX83568
GTX83568 WB Image

WB analysis of various cell lines using GTX83568 Serine racemase antibody [7E8].
Loading : 10 ug per lane
Dilution : 1:200

5 / 6
Anti-Serine racemase antibody [7E8] used in Immunocytochemistry/ Immunofluorescence (ICC/IF). GTX83568
GTX83568 ICC/IF Image

ICC/IF analysis of HepG2 cells using GTX83568 Serine racemase antibody [7E8].

6 / 6
Anti-Serine racemase antibody [7E8] used in Western Blot (WB). GTX83568
Anti-Serine racemase antibody [7E8] used in Immunocytochemistry/ Immunofluorescence (ICC/IF). GTX83568
Anti-Serine racemase antibody [7E8] used in IHC (Paraffin sections) (IHC-P). GTX83568
Anti-Serine racemase antibody [7E8] used in Flow cytometry (FCM). GTX83568
Anti-Serine racemase antibody [7E8] used in Western Blot (WB). GTX83568
Anti-Serine racemase antibody [7E8] used in Immunocytochemistry/ Immunofluorescence (ICC/IF). GTX83568
  • Host
    Mouse
  • Clonality
    Monoclonal
  • Clone Name
    7E8
  • Isotype
    IgG1
  • Applications
    WB ICC/IF IHC-P FCM
  • Reactivity
    Human, Monkey
See all Serine racemase products