Seryl-tRNA synthetase antibody [N1C2]

Cat. No. GTX113546
Cat. No.  GTX113546
Anti-Seryl-tRNA synthetase antibody [N1C2] used in Western Blot (WB). GTX113546
GTX113546 WB Image

Various whole cell extracts (30 μg) were separated by 10% SDS-PAGE, and the membrane was blotted with Seryl-tRNA synthetase antibody [N1C2] (GTX113546) diluted at 1:500. The HRP-conjugated anti-rabbit IgG antibody (GTX213110-01) was used to detect the primary antibody.

1 / 5
Anti-Seryl-tRNA synthetase antibody [N1C2] used in IHC (Paraffin sections) (IHC-P). GTX113546
GTX113546 IHC-P Image

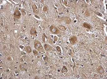
Seryl-tRNA synthetase antibody [N1C2] detects Seryl-tRNA synthetase protein at cytosol on rat brain stem by immunohistochemical analysis.
Sample: Paraffin-embedded rat brain stem.
Seryl-tRNA synthetase antibody [N1C2] (GTX113546) dilution: 1:500.

Antigen Retrieval: Trilogy™ (EDTA based, pH 8.0) buffer, 15min

2 / 5
Anti-Seryl-tRNA synthetase antibody [N1C2] used in IHC (Paraffin sections) (IHC-P). GTX113546
GTX113546 IHC-P Image

Immunohistochemical analysis of paraffin-embedded NCI-N87 xenograft, using Seryl-tRNA synthetase(GTX113546) antibody at 1:100 dilution.
Antigen Retrieval: Trilogy™ (EDTA based, pH 8.0) buffer, 15min

3 / 5
Anti-Seryl-tRNA synthetase antibody [N1C2] used in IHC (Paraffin sections) (IHC-P). GTX113546
GTX113546 IHC-P Image

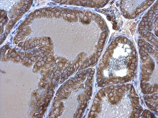
Seryl-tRNA synthetase antibody [N1C2] detects Seryl-tRNA synthetase protein at cytosol on mouse prostate by immunohistochemical analysis.
Sample: Paraffin-embedded mouse prostate.
Seryl-tRNA synthetase antibody [N1C2] (GTX113546) dilution: 1:500.

Antigen Retrieval: Trilogy™ (EDTA based, pH 8.0) buffer, 15min

4 / 5
Anti-Seryl-tRNA synthetase antibody [N1C2] used in Immunoprecipitation (IP). GTX113546
GTX113546 IP Image

Immunoprecipitation of Seryl-tRNA synthetase protein from 293T whole cell extracts using 5 μg of Seryl-tRNA synthetase antibody [N1C2] (GTX113546).
Western blot analysis was performed using Seryl-tRNA synthetase antibody [N1C2] (GTX113546).
EasyBlot anti-Rabbit IgG (GTX221666-01) was used as a secondary reagent.

5 / 5
Anti-Seryl-tRNA synthetase antibody [N1C2] used in Western Blot (WB). GTX113546
Anti-Seryl-tRNA synthetase antibody [N1C2] used in IHC (Paraffin sections) (IHC-P). GTX113546
Anti-Seryl-tRNA synthetase antibody [N1C2] used in IHC (Paraffin sections) (IHC-P). GTX113546
Anti-Seryl-tRNA synthetase antibody [N1C2] used in IHC (Paraffin sections) (IHC-P). GTX113546
Anti-Seryl-tRNA synthetase antibody [N1C2] used in Immunoprecipitation (IP). GTX113546
  • Host
    Rabbit
  • Clonality
    Polyclonal
  • Isotype
    IgG
  • Applications
    WB IHC-P IP
  • Reactivity
    Human, Mouse, Rat
See all Seryl-tRNA synthetase products