Sodium/Potassium ATPase alpha 1 antibody

Cat. No. GTX64425
Cat. No.  GTX64425
Anti-Sodium/Potassium ATPase alpha 1 antibody used in Western Blot (WB). GTX64425
GTX64425 WB Image

WB analysis of various sample lysates using GTX64425 Sodium/Potassium ATPase alpha 1 antibody.
Dilution : 1:500
Loading : 25μg per lane

1 / 3
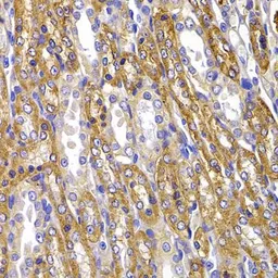
Anti-Sodium/Potassium ATPase alpha 1 antibody used in IHC (Paraffin sections) (IHC-P). GTX64425
GTX64425 IHC-P Image

IHC-P analysis of rat kidney tissue using GTX64425 Sodium/Potassium ATPase alpha 1 antibody.
Dilution : 1:100

2 / 3
Anti-Sodium/Potassium ATPase alpha 1 antibody used in Immunocytochemistry/ Immunofluorescence (ICC/IF). GTX64425
GTX64425 ICC/IF Image

ICC/IF analysis of U2OS cells using GTX64425 Sodium/Potassium ATPase alpha 1 antibody.
Blue : DAPI
Dilution : 1:100

3 / 3
Anti-Sodium/Potassium ATPase alpha 1 antibody used in Western Blot (WB). GTX64425
Anti-Sodium/Potassium ATPase alpha 1 antibody used in IHC (Paraffin sections) (IHC-P). GTX64425
Anti-Sodium/Potassium ATPase alpha 1 antibody used in Immunocytochemistry/ Immunofluorescence (ICC/IF). GTX64425
  • Host
    Rabbit
  • Clonality
    Polyclonal
  • Isotype
    IgG
  • Applications
    WB ICC/IF IHC-P
  • Reactivity
    Human, Mouse, Rat
See all Sodium/Potassium ATPase alpha 1 products