Somatostatin antibody

Cat. No. GTX133119
Cat. No.  GTX133119
Anti-Somatostatin antibody used in Western Blot (WB). GTX133119
GTX133119 WB Image

Various tissue extracts (50 μg) were separated by 15% SDS-PAGE, and the membrane was blotted with Somatostatin antibody (GTX133119) diluted at 1:500. The HRP-conjugated anti-rabbit IgG antibody (GTX213110-01) was used to detect the primary antibody, and the signal was developed with Trident ECL plus-Enhanced.

1 / 6
Anti-Somatostatin antibody used in IHC (Paraffin sections) (IHC-P). GTX133119
GTX133119 IHC-P Image

Somatostatin antibody detects Somatostatin protein at cytoplasm by immunohistochemical analysis.
Sample: Paraffin-embedded mouse cerebellum.
Somatostatin stained by Somatostatin antibody (GTX133119) diluted at 1:500.
Antigen Retrieval: Citrate buffer, pH 6.0, 15 min

2 / 6
Anti-Somatostatin antibody used in IHC (Paraffin sections) (IHC-P). GTX133119
GTX133119 IHC-P Image

Somatostatin antibody detects Somatostatin protein at cytoplasm and nucleus by immunohistochemical analysis.
Sample: Paraffin-embedded rat brain.
Somatostatin stained by Somatostatin antibody (GTX133119) diluted at 1:1000.
Antigen Retrieval: Citrate buffer, pH 6.0, 15 min

3 / 6
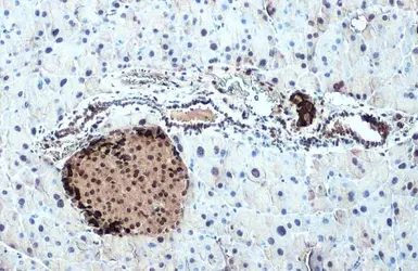
Anti-Somatostatin antibody used in IHC (Paraffin sections) (IHC-P). GTX133119
GTX133119 IHC-P Image

Somatostatin antibody detects secreted Somatostatin protein by immunohistochemical analysis.
Sample: Paraffin-embedded mouse pancreas.
Somatostatin stained by Somatostatin antibody (GTX133119) diluted at 1:1000.
Antigen Retrieval: Citrate buffer, pH 6.0, 15 min

4 / 6
Anti-Somatostatin antibody used in IHC (Frozen sections) (IHC-Fr). GTX133119
GTX133119 IHC-Fr Image

Somatostatin antibody detects Somatostatin Protein expression by immunohistochemical analysis.
Sample: Frozen-sectioned adult mouse cerebellum.
Green: Somatostatin stained by Somatostatin antibody (GTX133119) diluted at 1:250.
Red: NF-H, stained by NF-H antibody [GT114] (GTX634289) diluted at 1:500.
Blue: Fluoroshield with DAPI (GTX30920).

Antigen Retrieval: Citrate buffer, pH 6.0, 10 min

5 / 6
Anti-Somatostatin antibody used in Immunocytochemistry/ Immunofluorescence (ICC/IF). GTX133119
GTX133119 ICC/IF Image

Somatostatin antibody detects Somatostatin protein by immunofluorescent analysis.
Sample: DIV10 rat E18 primary cortical neuron cells were fixed in 4% paraformaldehyde at RT for 15 min.
Green: Somatostatin stained by Somatostatin antibody (GTX133119) diluted at 1:500.
Red: Tau, stained by Tau antibody [GT287] (GTX634809) diluted at 1:500.
Blue: Fluoroshield with DAPI (GTX30920).

6 / 6
Anti-Somatostatin antibody used in Western Blot (WB). GTX133119
Anti-Somatostatin antibody used in IHC (Paraffin sections) (IHC-P). GTX133119
Anti-Somatostatin antibody used in IHC (Paraffin sections) (IHC-P). GTX133119
Anti-Somatostatin antibody used in IHC (Paraffin sections) (IHC-P). GTX133119
Anti-Somatostatin antibody used in IHC (Frozen sections) (IHC-Fr). GTX133119
Anti-Somatostatin antibody used in Immunocytochemistry/ Immunofluorescence (ICC/IF). GTX133119
  • Host
    Rabbit
  • Clonality
    Polyclonal
  • Isotype
    IgG
  • Applications
    WB ICC/IF IHC-P IHC-Fr
  • Reactivity
    Human, Mouse, Rat
Summary
Somatostatin antibody recognizes somatostatin, a small peptide hormone (existing in two forms) found predominately in the nervous and digestive systems. It acts as both a neurotransmitter and an inhibitory regulator of the secretion of other hormones. Somatostatin also has antiproliferative activity and promotes apoptosis.
See all Somatostatin products