Somatostatin receptor 2 antibody

Cat. No. GTX13120
Cat. No.  GTX13120
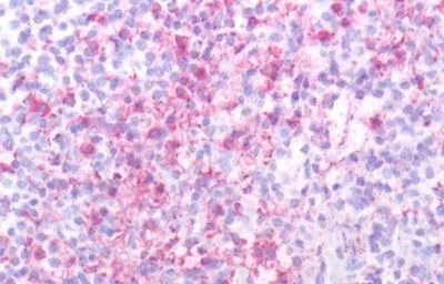
Anti-Somatostatin receptor 2 antibody used in IHC (Paraffin sections) (IHC-P). GTX13120
GTX13120 IHC-P Image

IHC-P analysis of human spleen tissue using GTX13120 Somatostatin receptor 2 antibody.

1 / 3
Anti-Somatostatin receptor 2 antibody used in IHC (Paraffin sections) (IHC-P). GTX13120
GTX13120 IHC-P Image

IHC-P analysis of human brain, cerebellum tissue using GTX13120 Somatostatin receptor 2 antibody.

2 / 3
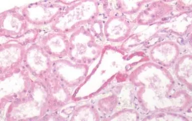
Anti-Somatostatin receptor 2 antibody used in IHC (Paraffin sections) (IHC-P). GTX13120
GTX13120 IHC-P Image

IHC-P analysis of human kidney tissue using GTX13120 Somatostatin receptor 2 antibody.

3 / 3
Anti-Somatostatin receptor 2 antibody used in IHC (Paraffin sections) (IHC-P). GTX13120
Anti-Somatostatin receptor 2 antibody used in IHC (Paraffin sections) (IHC-P). GTX13120
Anti-Somatostatin receptor 2 antibody used in IHC (Paraffin sections) (IHC-P). GTX13120
  • Host
    Rabbit
  • Clonality
    Polyclonal
  • Isotype
    IgG
  • Applications
    IHC-P
  • Reactivity
    Human, Mouse, Rat, Rabbit, Bovine, Dog, Hamster, Pig, Monkey, Horse
See all Somatostatin receptor 2 products