Src (phospho Tyr530) antibody

Cat. No. GTX50210
Cat. No.  GTX50210
Anti-Src (phospho Tyr530) antibody used in Western Blot (WB). GTX50210
GTX50210 WB Image

WB analysis of extracts from HepG2 cells treated with Anisomycin or calf intestinal phosphatase (CIP) using GTX50210 Src (phospho Tyr527) antibody.

1 / 5
Anti-Src (phospho Tyr530) antibody used in Immunocytochemistry/ Immunofluorescence (ICC/IF). GTX50210
GTX50210 ICC/IF Image

ICC/IF analysis of methanol-fixed HeLa cells using GTX50210 Src (phospho Tyr527) antibody.

2 / 5
Anti-Src (phospho Tyr530) antibody used in Western Blot (WB). GTX50210
GTX50210 WB Image

WB analysis of extracts from HT-29 cells untreated or treated with PMA using GTX50210 Src (phospho Tyr527) antibody.

3 / 5
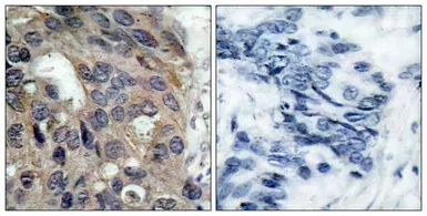
Anti-Src (phospho Tyr530) antibody used in IHC (Paraffin sections) (IHC-P). GTX50210
GTX50210 IHC-P Image

IHC-P analysis of human breast carcinoma tissue using GTX50210 Src (phospho Tyr527) antibody.
Left : Primary antibody
Right : Primary antibody pre-incubated with the antigen specific peptide

4 / 5
Anti-Src (phospho Tyr530) antibody used in Western Blot (WB). GTX50210
GTX50210 WB Image

The data was published in the journal Evid Based Complement Alternat Med in 2012.PMID: 23320038

5 / 5
Anti-Src (phospho Tyr530) antibody used in Western Blot (WB). GTX50210
Anti-Src (phospho Tyr530) antibody used in Immunocytochemistry/ Immunofluorescence (ICC/IF). GTX50210
Anti-Src (phospho Tyr530) antibody used in Western Blot (WB). GTX50210
Anti-Src (phospho Tyr530) antibody used in IHC (Paraffin sections) (IHC-P). GTX50210
Anti-Src (phospho Tyr530) antibody used in Western Blot (WB). GTX50210
  • Host
    Rabbit
  • Clonality
    Polyclonal
  • Isotype
    IgG
  • Applications
    WB ICC/IF IHC-P
  • Reactivity
    Human
See all Src products