Src (phospho Tyr530) antibody

Cat. No. GTX78941
Cat. No.  GTX78941
Anti-Src (phospho Tyr530) antibody used in Western Blot (WB). GTX78941
GTX78941 WB Image

WB analysis of EGF-treated 293 cell lysate using GTX78941 Src (phospho Tyr527) antibody.

1 / 2
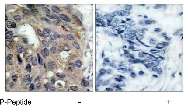
Anti-Src (phospho Tyr530) antibody used in IHC (Paraffin sections) (IHC-P). GTX78941
GTX78941 IHC-P Image

IHC-P analysis of human breast carcinoma tissue using GTX78941 Src (phospho Tyr527) antibody.

2 / 2
Anti-Src (phospho Tyr530) antibody used in Western Blot (WB). GTX78941
Anti-Src (phospho Tyr530) antibody used in IHC (Paraffin sections) (IHC-P). GTX78941
  • Host
    Rabbit
  • Clonality
    Polyclonal
  • Isotype
    IgG
  • Applications
    WB IHC-P
  • Reactivity
    Human
See all Src products