Stk31 antibody

Cat. No. GTX119718
Cat. No.  GTX119718
Anti-Stk31 antibody used in Western Blot (WB). GTX119718
GTX119718 WB Image

Sample (30 ug of whole cell lysate)
A: AZ521 cell
B: AZ521-Stk31-GFP
C: AZ521-Stk31-Myc-His
5% SDS PAGE
GTX119718 diluted at 1:1000

1 / 2
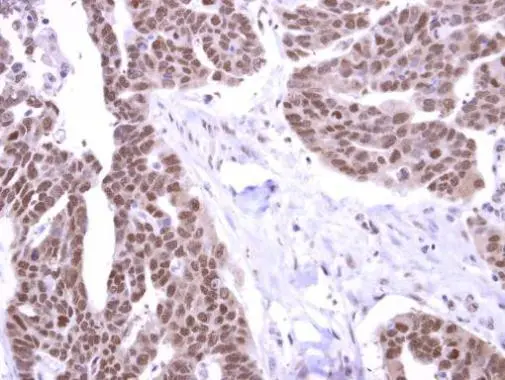
Anti-Stk31 antibody used in IHC (Paraffin sections) (IHC-P). GTX119718
GTX119718 IHC-P Image

Stk31 antibody detects Stk31 protein at cytoplasm and nucleus human on ovarian carcinoma by immunohistochemical analysis. Sample: Paraffin-embedded ovarian carcinoma. Stk31 antibody (GTX119718) dilution: 1:500.
Antigen Retrieval: Trilogy™ (EDTA based, pH 8.0) buffer, 15min

2 / 2
Anti-Stk31 antibody used in Western Blot (WB). GTX119718
Anti-Stk31 antibody used in IHC (Paraffin sections) (IHC-P). GTX119718
  • Host
    Rabbit
  • Clonality
    Polyclonal
  • Isotype
    IgG
  • Applications
    WB IHC-P
  • Reactivity
    Human, Mouse
See all Stk31 products